查看更多
密码过期或已经不安全,请修改密码
修改密码
壹生身份认证协议书
同意
拒绝
同意
拒绝
同意
不同意并跳过
基本资料
性别:男
年龄:57岁
身高:180
体重:63Kg
主诉:乙状结肠癌术后2年半,间断咳嗽1月余
现病史: 患者2017.4行结肠癌根治术,术后行化疗及靶向治疗多程。1月前出现咳嗽咳痰不适,活动后胸闷加重,入院进一步治疗。
既往史/家族史: 有高血压、糖尿病史多年,现口服硝苯地平降血压,二甲双胍、沙格列汀降血糖,血压血糖控制稳定。
辅助检查
体格检查:
神清,浅表淋巴结未及肿大,两下肺呼吸音低,双肺可闻及哮鸣间,心脏(-),腹软,无压痛及反跳痛。
实验室检查:
血常规:白细胞 计数:10.33*109/L,中性粒细胞 计数: 7.73*109/L,余指标正常。
血生化:白蛋白:27.4g/L,余指标正常。
肿瘤标志物:CA19-9 30.48U/mL,CA72-4:12.48U/mL。
影像学检查:
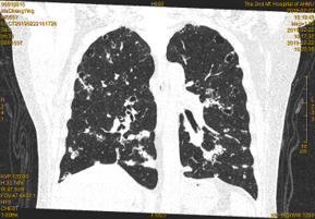
胸部CT:双肺散在结节伴部分囊样空洞样影,较老片病灶增多;双侧胸膜增厚,双侧胸腔积液。




入院诊断:
乙状结肠癌中分化腺癌术后双肺转移
肺部感染
高血病
2型糖尿病
胆囊结石
治疗方案:
一线治疗方案:
奥沙利铂+希罗达(六程)(2017.05-2017.08)
病理检查结果:乙状结肠溃疡型中分化腺癌累及全层,肿瘤侵犯少数神经,切缘(-),淋巴结8/23(+),阑尾根部见癌累及。免疫组化:CK7(-),CK20(+),CDX-2(+),CEA(+),P53(少数+), Villin(+), CA19-9 (+), CerbB-2(+),MUC-2(部分+),KI-67(+,60%), MLH1(+), MSH2(+), MSH6(+),PMS2(+)
二线治疗方案:
伊立替康+CF+5-FU+贝伐珠单抗(2017.11-2018.01)
病理检查结果:无
三线治疗方案:
2018-02 口服阿帕替尼治疗,病情稳定。
2018-12因肺部病情进展,后行伊立替康+CF+5-FU+贝伐珠单抗治疗。
2019-02 因肺部病情进展,开始口服呋喹替尼治疗。
疾病进展检查结果:
2020.2 复查CT肺部病灶较前增多,病情进展,停用呋喹替尼治疗,治疗方案更换为替雷利珠单抗+瑞戈非尼治疗。
影像学检查结果:






病例总结:
1.患者系乙状结状中分化腺癌术后肺部转移,接受多线治疗,目前总生存时间36月。
2.一线、二线治疗方案依据指南推荐,对于三线采用了抗血管生成、化疗、免疫治疗等,持续的抗血管生成使患者获益。
3.对于晚期的结直肠患者治疗要注重生活质量,避免过强的抗肿瘤治疗。
4. REGONIVO研究取得不错效果,患者目前也正予免疫治疗+抗血管生成治疗,疗效有待于进一步随访。
查看更多