查看更多
密码过期或已经不安全,请修改密码
修改密码
壹生身份认证协议书
同意
拒绝
同意
拒绝
同意
不同意并跳过
作者:郑大一附院 张殿红
患者男,70岁,3年前劳累后出现胸闷、晕厥症状,不伴有头痛、恶心等,持续约20分钟,自行清醒,至当地医院心电图显示窦性心律,左室肥大,侧壁ST-T异常可能由于肥大和/或缺血引起。超声显示:左心增大,左室心尖部室壁增厚,运动幅度减弱。诊断为“冠心病 急性冠脉综合征(ACS)心功能2级;高血压病3级,极高危;陈旧性脑梗”,给予药物对症治疗,效果欠佳,间断发作,症状同前。5天前,再发来我院,门诊以“ACS 晕厥”收住院。
入院查体:心率:74次/分,血压:142/72 mmHg,主动脉瓣听诊区听到响亮喷射性收缩期杂音。
心电图显示广泛导联缺血型改变,下壁导联Q波形成(如下图所示)。

心脏超声显示主动脉瓣重度狭窄(如下图所示):

入院诊断:1.冠心病 急性冠脉综合征 2.主动脉瓣重度狭窄 3.高血压病3级 极高危4.陈旧性脑梗死
充分药物治疗后,行冠脉造影检查如下所示:

造影显示前降支中段局限性狭窄约60%,第一对角支开口狭窄约80%,右冠中段扭曲处高度狭窄约95%。
处理策略:右冠高度狭窄合并主动脉瓣重度狭窄,家属及患者拒绝开胸搭桥(CABG)及主动脉瓣置换(SAVR),要求介入治疗。与家属沟通后决定行右冠支架植入(PCI)后行经皮主动脉瓣置换(TAVR)。
术前CT评估:

CT评估结果:双侧股动脉条件可(直径大于5.5mm);瓣环面积522mm2,左冠高度16.7mm,右冠高度19.6mm,三瓣三窦,可见团块状钙化,左右瓣叶疑似钙化融合。
手术过程:(术者:吴磊明 张殿红等)
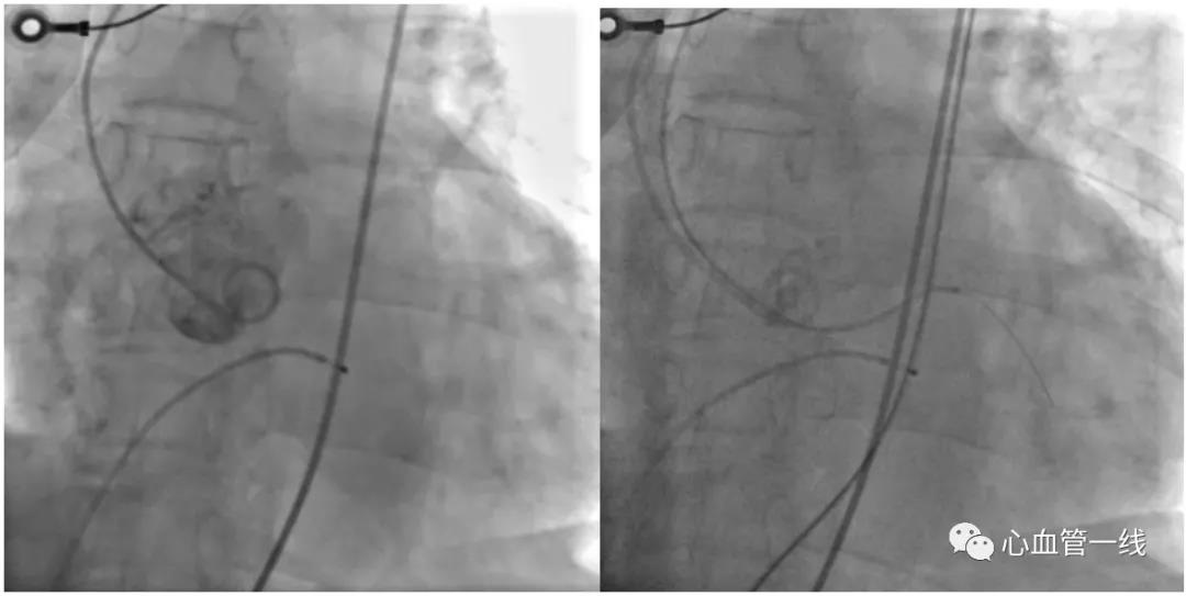
右股动脉植入7F鞘管,于右冠中段狭窄处植入一枚3.5*29 mm支架,膨胀满意,前向血流TIMI3级。

撤出指引导管,在J型导丝引导下送6F猪尾导管置于右冠窦(共平面投照角度下右冠窦位于中间位置),鞘管侧孔连接动脉压力监测;
穿刺右股静脉,植入8F鞘管,送临时起搏电极至右室心尖部,测试临时起搏器工作良好(确保能1:1夺获),鞘管侧孔作为外周静脉入路使用;
超声引导下穿刺左股动脉(确保穿刺位置位于腹股沟韧带以下股总动脉前壁),植入8F股动脉鞘管后,预置缝合器一把。加硬导丝支持下交换14F可扩张鞘管。

寻找合适共平面角度,确保三个窦底平行 AL1支撑下送直头跨瓣导丝进入左室送猪尾导管至左心室后交换跨瓣导丝为已塑形的加硬支撑导丝。
沿此导丝送预扩张球囊(23 mm)到位后,快速起搏至收缩压小于50 mmHg,脉压差小于10 mmHg,充分扩张球囊造影显示冠脉显影良好,无明显主动脉瓣反流(如下视频所示)。
固定加硬导丝撤出预扩张球囊,送主动脉瓣支架(26 mm Edward)精确定位(再次主动脉根部造影,确保定位Marker点下沿与窦底水平对齐)后快速起搏至收缩压低于50 mmHg,充分释放支架(见视频)。

主动脉根部造影显示微量瓣周漏
无明显不适,生命体征平稳,心电监护无传导异常,撤出临时起搏电极,缝合双侧股动脉,安返病房。术后3天行心脏超声检查,无不适,出院。
术后第三天复查心脏超声显示人工瓣膜良好,微量瓣周漏
讨论
①症状性主动脉瓣重度狭窄若未及时干预,中位生存年限低(合并心绞痛平均为5年,合并晕厥平均为3年,合并心力衰竭平均为2年),但若及时换瓣,10年生存率接近正常人群。此患者已出现晕厥症状,手术必要性与紧迫性均较强。
②TAVI与PCI同期处理或分期处理应根据患者临床状况(如心功能、肾功能情况)、冠脉病变情况(是否为复杂病变如:分叉、主干开口、严重钙化需要旋磨或多支病变等)及供血心肌范围大小决定。此患者右冠局部高度狭窄,同期处理冠脉与主动脉瓣问题是合理的。在SURTAVI临床试验中,外科中危主动脉瓣重度狭窄合并非复杂冠心病患者(SYNTAX积分小于22分)无论是行PCI+TAVR还是CABG+SAVR,2年随访显示无论是全因死亡率还是中风风险均无明显差异;症状性主动脉瓣狭窄合并冠脉病变而不适合CABG的患者应根据个体情况接受SAVR或TAVR,我们认为这种情况时,必要的、选择性的支架植入+TAVR是妥当选择。
来源:心血管一线
查看更多