查看更多
密码过期或已经不安全,请修改密码
修改密码
壹生身份认证协议书
同意
拒绝
同意
拒绝
同意
不同意并跳过
基本资料
性别:女
年龄:50岁
身高:155CM
体重:55KG
主诉:直肠癌多发转移1年余
现病史:患者2018年5月因便血就诊于当地医院,肛检发现直肠肿物,活检病理示:直肠腺癌,PET-CT:直肠癌伴全身多发淋巴转移,两肺多发转移瘤,左侧肾上腺转移,L4椎体转移,T5椎体转移可能。
既往史/家族史:既往体制可,有高血压病史6年,血压最高210/110mmHg,口服百普乐1#qd,卡维地洛1#qd,拜新同1#qd,血压控制一般。无冠心病,糖尿病,肝炎及结核,无药物过敏史。有手术史,2013年因子宫肌瘤行子宫全切术。
辅助检查
体格检查:
神清,精神可,心肺(-),全腹部压痛(-),反跳痛(-),肝肾脏痛(-),左侧颈部,锁骨上多发淋巴结肿大,双下肢无浮肿。
实验室检查:
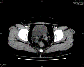
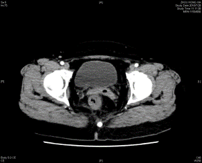
2018-05-08外院 胸部CT提示,两肺多发小结节,考虑转移瘤可能,左肺下叶肺大泡,右肾小结石。2018-5-10外院 全腹CT平扫增强示:直肠中下段肠壁不规则增厚,考虑恶性肿瘤,伴外膜浸润,周围淋巴结显示,左侧盆腔淋巴结肿大。结肠镜示:直肠溃疡性肿块。
入院诊断:
病灶发生或复发时间、部位及状态、转移情况、基因分析结果:患者2018年5月因便血就诊于当地医院,肛检发现直肠肿物,活检病理示:直肠腺癌,PET-CT:直肠癌伴全身多发淋巴转移,两肺多发转移瘤,左侧肾上腺转移,L4椎体转移,T5椎体转移可能。
治疗方案:
一线治疗方案:
2018.5-2018.11:行FOLFIRI方案(伊立替康+亚叶酸钙+5-尿嘧啶)化疗+贝伐珠单抗靶向治疗。
病理检查结果:直肠腺癌。
二线治疗方案:
2018.12-2019.1行XELOX方案(奥沙利铂200mg d1+希罗达1.5mg bid d1-14)+贝伐珠单抗480mg d1
2019.1-2019.11雷替曲塞q3w+爱必妥q2w
病理检查结果:没有检查病理
三线治疗方案:
2019.11-2019.12瑞戈非尼120mg口服qd靶向治疗
2020.1-至今 瑞戈非尼120mg口服qd加信迪利单抗200mg免疫治疗
病理检查结果:病理资料无
一线治疗疾病进展检查结果:
2018年11.29较2018年7.27比较两肺小结节,且直肠壁增厚病情进展。








二线治疗疾病进展检查结果:




2019-8-7较2019-1-7两肺多结节增多增大考虑病情进展。
三线疾病进展检查结果:


2020年1月1日检查病情进展较之前进展
病例总结:
1. 该结直肠癌病人生存周期较长,中间进行了系统治疗。
2. 参考了2018版中国临床肿瘤学CSCO结直肠癌诊疗指南以及2017NCCN结直肠癌指南,系统治疗也换了好几种方案。
3. 治疗期间根据指南推荐治疗副作用妥善处理并发症,病情相对稳定,患者整体耐受性较好,个体化选择治疗方案尤为重要,对临床用药有参考意义。
查看更多