查看更多
密码过期或已经不安全,请修改密码
修改密码
壹生身份认证协议书
同意
拒绝
同意
拒绝
同意
不同意并跳过
基本资料
患者:张某,男,39岁。
主诉:“发现肝占位性病变2天”;于2019-07-23入住我院肝胆中心
现病史:患者2天前无明显诱因感右上腹胀痛,右肩背部放射,无寒战发热,无腹胀腹泻、无呕心呕吐,无呕血便血,无皮肤巩膜黄染,遂于当地医院行上腹部CT检查示:肝脏右叶巨大占位,考虑肝恶性肿瘤;患者病程期间,精神食纳稍差,睡眠尚可,近期体重无明显变化,大小便正常。
既往史:乙肝病史20余年,未做特殊治疗。
辅助检查
实验室检查:
生化:ALT: 197.0 ↑ U/L, AST:128.8 ↑ U/L, TBIL:10.7 μmol/L, DBIL:4.1 μmol/L, IBIL: 6.6 μmol/L
肿标:AFP: >1210.000 ↑ ng/mL, CEA: 3.94 ng/mL, CA19-9: 25.93U/ml,
异常凝血酶原:58284 ↑ mAU/mL, n乙肝病毒DNA滴度:6.18E+05 ↑ IU/mL,
吲哚箐绿(ICG):15min滞留率:<10%
术前上腹部增强CT:

结果提示:肝右叶S8段巨大软组织占位伴肝S5、S6段多发异常密度灶(共计4枚),考虑肝CA伴多发肝内转移。
诊断:原发性肝癌(肝细胞癌 IIB期) 诊断明确。

患者肝切除手术评估:


外科肝切除手术难点:局部切除手术创面太大,相当于4个肝切除创面。


外科肝切除手术难点: 行右半肝切除,左肝残余体积仅剩余 370.4g(19.3%)。
基因检测:介入治疗造影显示:肝右叶多枚团块状肿瘤染色灶,其供血动脉增粗,血管分支增多紊乱,实质期染色明显。

治疗后再次评估:

2019-07-25
S8:12.7*9.0cm,
S6:6.7*4.9cm

2019-08-23
S8:12.0×8.9cm
S6:4.2×3.2cm

2019-07-25
Tumor Vol: 581.9ml
Liver Vol: 1920.7ml

2019-08-23
Tumor Vol: 444.7ml
Liver Vol: 1757.6ml
肝切除手术治疗:
2019-09-03,ns5(部分)+s8+s7及s6(部分)切除

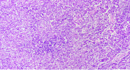
术后病理:


病理诊断:
标本名称: 局部肝脏切除标本
肿瘤位置: 肝脏5/7/8段、肝脏6段
肿瘤病理诊断: 肝细胞癌伴治疗后反应(肿瘤组织显著坏死,仅见少许存活肿瘤组织),术前综合治疗效果明显。
肿瘤数量:2个
肿瘤大小:11.5cm*8cm*7cm和9cm*3.8cm*3.5cm
卫星灶: 肝脏5/7/8段肿瘤周围见3个卫星灶
卫星灶最大径: 0.8cm
组织学分型: 实体型,梁型
细胞学分型: 昔通型,透明细胞型
EDMONDSON分级:II
微血管癌栓:无法明确
肝被膜侵犯:未累及肝被膜
周围肝脏情况:结节性肝硬化形成。
淋巴结、胆囊和其它:慢性胆囊炎;送检(右侧腹壁)示脂肪结缔組织,未见癌组织累及。
术后恢复及评估:

术后第7天复查CT提示肝脏断面积液, 于超声引导下穿刺引流后好转。
术后恢复及评估:




患者术后14天顺利出院。 术后拟继续使用PD-1联合靶向药物 继续进行术后辅助治疗。
查看更多