查看更多
密码过期或已经不安全,请修改密码
修改密码
壹生身份认证协议书
同意
拒绝
同意
拒绝
同意
不同意并跳过
基本资料
性别:男
年龄:55 岁
主诉:因 “发现肝内占位1月余 ” 于2017-5-15收治入院
现病史:
患者2017-04自觉右上腹不适,进食后明显,渐加重,遂至我院检查上腹部CT示:肝内占位,考虑为肝细胞Ca,肝硬化,脾大,脾静脉、食管胃底静脉迂曲扩张。
既往史:
发现“乙型肝炎”1年,规律服用“恩替卡韦”,否认其他慢性病史。
辅助检查
实验室检查:
血常规:
白细胞计数: ( 8.0 ) ×109 /L
血红蛋白: ( 130 )g/L
血小板计数: ( 357.0 ) ×109 /L
中性粒细胞绝对值( 5.0 )×109/L
淋巴细胞绝对值:( 2.0 ×109/L
血生化和乙肝两对半:
白蛋白: ( 36.0 ↓ ) g/l
谷草转氨酶:( 74.0 ↑ )U/L
谷丙转氨酶:( 51.6 ↑ )U/L
总胆红素:( 27.4 ↑ )umol/L
直接胆红素:( 10.8 ↑ )umol/L
肌酐: ( 57.6 )umol/L
凝血酶原时间:( 11 )秒
乙肝标志物: HBsAg(阳性);抗-HBs (阴性);HBeAg(阴性);抗-HBe(阳性);HBcAb (阳性)
HBV-DNA: (5*102 ) IU/ml
影像学检查:
腹部CT:
检查时间:(2017-4)
影像图谱:肝内占位,考虑为肝细胞Ca肝内转移可能


BCLC分期:
治疗过程:
首次介入治疗:
治疗时间:(2017-5)
影像图谱:肝右叶病灶染色明确,超选栓塞,碘油沉积致密


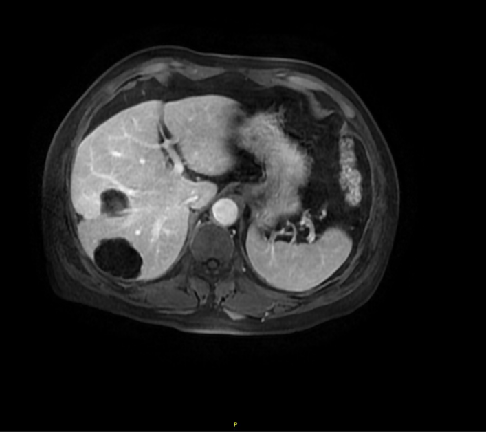
介入术后1月影像学检查:
腹部MR:
检查时间:(2017- 7)
影像图谱:肝癌介入术后,S5段病灶仍有活性



2017-7-1 索拉非尼 0.4g Bid

服药1月影像学检查:
腹部MR:
检查时间:(2017 -8 )
影像图谱:肝右叶活性灶体积明显缩小



服药3月影像学检查:
检查时间:(2017 - 10 )
影像图谱:肝右叶无明显活性灶



服药6月影像学检查:
检查时间:(2018-1 )
影像图谱:肝右叶未见明确活性灶



服药9月影像学检查:
腹部CT:
检查时间:(2018 - 4)
影像图谱:肝右叶病灶碘油沉积致密,无明显活性灶

服药1年影像学检查:
腹部MR:
检查时间:(2018 - 7 )
影像图谱:肝右叶病灶较前相仿


药物治疗期间的AFP:
病例总结:
1、肝癌需要多学科参与
2、介入联合靶向是晚期肝癌治疗的有效手段之一
查看更多