壹生大学

壹生身份认证协议书

本项目是由壹生提供的专业性学术分享,仅面向医疗卫生专业人士。我们将收集您是否是医疗卫生专业人士的信息,仅用于资格认证,不会用于其他用途。壹生作为平台及平台数据的运营者和负责方,负责平台和本专区及用户相关信息搜集和使用的合规和保护。
本协议书仅为了向您说明个人相关信息处理目的,向您单独征求的同意,您已签署的壹生平台《壹生用户服务协议》和《壹生隐私政策》,详见链接:
壹生用户服务协议:
https://apps.medtrib.cn/html/serviceAgreement.html
壹生隐私政策:
https://apps.medtrib.cn/html/p.html
如果您是医疗卫生专业人士,且点击了“同意”,表明您作为壹生的注册用户已授权壹生平台收集您是否是医疗卫生专业人士的信息,可以使用本项服务。
如果您不是医疗卫生专业人士或不同意本说明,请勿点击“同意”,因为本项服务仅面向医疗卫生人士,以及专业性、合规性要求等因素,您将无法使用本项服务。

同意

拒绝

同意

拒绝

知情同意书

同意

不同意并跳过

工作人员正在审核中,
请您耐心等待
审核未通过
重新提交
完善信息
{{ item.question }}
确定
收集问题
{{ item.question }}
确定
您已通过HCP身份认证和信息审核
(
5
s)

聚焦罕见病诊疗:黑斑息肉综合征合并宫颈胃型腺癌1例 | 罕见病临床思辨

2026-03-06作者:论坛报小塔资讯
原创

作者:空军特色医学中心  黄滋涵 银新

PART.01

病例介绍

患者女性,23岁,因“发现口唇及指端黑斑20余年,确诊黑斑息肉综合征18年”入院。

现病史  患者幼年时期其家人发现口唇、四肢指端散在黑斑,直径约2~3mm,不突出于皮肤表面,未行特殊诊治。2006年患者因突发腹痛就诊于吉林大学附属第一医院,诊断“肠套叠”,行“肠套叠手法复位,肠切除术”。

2008年,患者无明显诱因出现便中带血,再次就诊于吉林大学附属第一医院行肠镜发现结肠多发息肉,确诊为“黑斑息肉综合征”,此后多次接受内镜下息肉切除治疗。

2022年,患者无明显诱因出现双下肢水肿伴乏力,当地医院化验提示贫血、低蛋白血症,经输血、补充白蛋白等治疗后症状缓解,后续需每2~3个月需输白蛋白维持。

2024年5月,患者于吉林大学附属第一医院再次行内镜下息肉切除治疗,肠息肉病理提示“符合P-J息肉,部分上皮增生活跃”。胃镜检查发现“十二指肠多枚大息肉,未予处理”。

患者入院前一般状态良好,无腹痛腹泻,无恶心呕吐,无黑便血便,精神欠佳,食欲、睡眠正常,体重无明显变化,大便每日4~5次,量多,性状基本正常,排尿正常,为进一步检查及治疗于2024年6月入院。

入院查体  体温:36.3℃,脉搏:88次/分,呼吸:20次/分,血压:111/68 mmHg,身高:176cm,体重:59kg,BMI:19kg/m2

神志清楚,口唇、口腔黏膜及四肢末端可见多发类圆形黑斑着,大小约2~3 mm,不凸出于皮表。两肺呼吸音清,未闻及干湿性啰音及哮鸣音。心律齐,心音正常,各瓣膜听诊区未闻及杂音。腹部正中可见长约22 cm、右侧长约12 cm纵行手术瘢痕,腹软,无压痛及反跳痛,全腹未触及包块,肝脏下缘位于肋下缘3指,肝区无压痛及叩击痛,脾脏下缘位于肋下缘4指,无压痛,移动性浊音(-),肠鸣音正常。双下肢轻度凹陷性水肿。膝反射、跟腱反射正常,生理反射存在,病理反射未引出。

既往史  20121月患者于当地医院行内镜下息肉切除术后发生“肠穿孔”,随后行手术修补及双镜联合下行胃、十二指肠、小肠息肉切除术。

2017年8月,患者因肠息肉于吉林大学附属第一医院行“剖腹探查,降结肠肿物切除,小肠部分切除肠吻合,内镜下息肉切除,腹腔冲洗引流术”,术中切除Treitz韧带10 cm~120 cm空肠。

2022年于该院诊断“多囊卵巢综合征”,同年7月因“右侧卵巢囊肿”于吉林大学附属第一医院行“右侧卵巢囊肿剥除术,盆腔粘连松解,右侧卵巢修补术”。否认其他病史及手术史,无食物药物过敏史。

月经史  初潮年龄16岁,月经持续时间7~30天,月经不规律,闭经近3年。

婚育史  未婚,否认性生活史。

家族史  父母均体健,独生女,家族中无传染病及遗传病史。

PART.02

诊治经过

实验室检查  血红蛋白 86.00 g/L,红细胞压积 0.31 L/L,红细胞平均体积 75.50 fL,红细胞平均血红蛋白量 20.07 pg,血小板计数492.00×109/L,血钙 1.50 mmol/L,总蛋白 31.60 g/L,白蛋白 16.98 g/L,白蛋白/球蛋白 1.16,前白蛋白 129.00 mg/L,乳酸脱氢酶 252.00 U/L,女性肿瘤标志物8项:细胞角蛋白19片段 7.14 ng/ml,CA-199、CEA正常。传染4项、性激素六项、HCG、抗缪勒氏管激素、血沉、C-反应蛋白、自身免疫性肝病谱、抗核抗体+抗核抗体谱、免疫球蛋白+补体等均无异常。

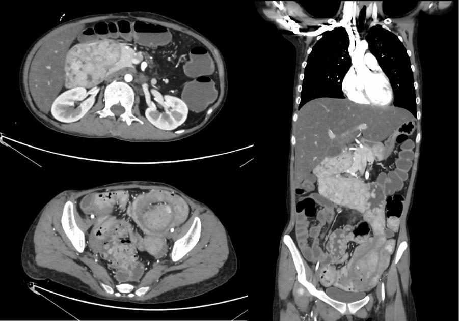
声检查  小器官超声提示甲状腺双叶多发囊性结节(C-TIRADS 2类)。乳腺及腋窝淋巴结未见明显异常。小肠CT三维重建(图1)提示:① 胃窦区、小肠、结肠多发结节肿块,符合P-J综合征影像学表现;② 左下腹肠套叠;③ 中度脂肪肝;④ 肠系膜根部多发肿大淋巴结;⑤ 肝左叶低密度结节,建议随访;⑥ 宫颈多发囊肿。

图1:十二指肠、空肠、回肠多发结节状密度增高影,左下腹肠套叠。

内镜检查  入院后患者完善经肛、经口小肠镜检查(图2):经肛进镜至距回盲瓣150cm处,肠腔明显扩张以致外套管跟进困难,小肠及全结肠可见密集分布近百枚山田/型息肉,大小1.0~3.0 cm,经口小肠镜进镜至距幽门150 cm处,所见十二指肠、空肠黏膜密集分布百余枚0.5~4.0 cm息肉,其中以十二指肠及空肠近端为主,部分堵塞肠腔,术中切除大于3 cm息肉30余枚。

图2:回肠远端、空肠上段及十二指肠多发息肉,大小0.5~4.0 cm,肠腔扩张。

PART.03

妇科情况

患者16岁初潮,月经不规律,2021年8月,患者无明显诱因出现阴道分泌物增加,量多,清亮样,偶有外阴、阴道瘙痒,未予诊治,闭经近3年

妇科检查  外阴发育正常,阴道畅,子宫后位,正常大小,质中,活动可,无压痛,双侧附件区未触及明显异常。

超声检  2024年12月14日,患者查妇科超声示:宫颈占位性病变,范围4.3 cm×2.1 cm×3.0 cm,内可见多个不规则囊性回声弥漫分布。

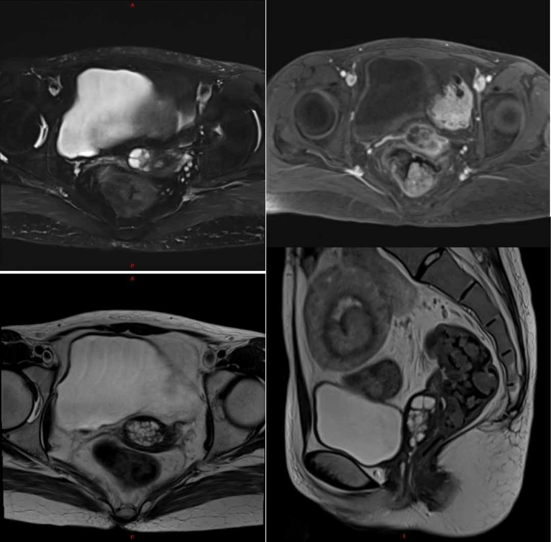
磁共振增强成像2025年12月15日,盆腔磁共振增强成像提示(图3):① 宫颈异常信号,考虑胃型腺癌,建议镜检或短期密切随访;② 双侧附件区多发生理性卵泡;③ 肠套叠;盆腔肠管内多发结节,符合P-J综合征表现。

图3:宫颈增大,可见多房囊状信号影,大小约3.1 cm×2.0 cm×3.6 cm,边界尚清。

2024年12月25日,患者行宫腔镜检查术+宫腔镜下宫颈管病损切除术+诊刮术+超声引导下宫颈穿刺活检术+宫颈锥切术。术后病理提示:送检标本示宫颈管腺体增生,部分呈叶状宫颈腺体增生,局灶腺腔扩张,细胞核轻度增生并上移至腔缘,结合形态及免疫组化,符合不典型叶状宫颈腺体增生。标本送检至解放军总医院第七医学中心病理科会诊,结果支持该诊断。

PART.04

治疗方案

患者为年轻女性,宫颈锥切病理示宫颈管腺体不典型叶状增生,属于癌前病变,有切除子宫手术指征,但患者年轻且未生育,切除子宫将丧失生育功能,若暂缓手术则存在病情进展为胃型腺癌的风险。经与患者及家属充分沟通病情后,初步拟定选择性子宫切除术。因患者有多次开腹手术史,营养状态差,低蛋白血症难以纠正,手术风险较高,于 2025 年 2 月 11 日行多学科会诊讨论。

各科室意见如下

营养科医师意见:患者食欲佳,日常食物种类丰富,较为全面均衡,体重近期无明显变化,建议在日常饮食基础上进一步强化优质蛋白食物摄入(每天瘦肉3两、鸡蛋2~3个、奶制品300~500 ml,另可补充乳清蛋白粉10~20 g/d),予消化酶帮助食物蛋白消化吸收;监测血清蛋白谱及尿素等营养相关指标。

消化内科医师意见:患者多次开腹手术史,经我院经肛、经口小肠镜检查后预计患者剩余小肠约3~4 m,但患者十二指肠、空肠上段息肉分布密集,患者长期低蛋白血症(白蛋白19 g/L),考虑不除外蛋白丢失性肠病,根除息肉可能有助于改善患者营养,但内镜下息肉治疗的数量有限,仅凭内镜切除息肉治疗周期长、获益慢,目前患者无消化道出血、梗阻症状,消化道息肉可暂行搁置,优先处理妇科病变,密切随访并强加短期静脉营养支持。

普外科医师意见:患者小肠镜评估后可见息肉密集分布于肠腔全周,如手术治疗预计行病变肠段切除,患者既往多次开腹手术,术后短肠风险较大,可能加重患者营养不良。

病理科医师意见:该患者锥切手术病理诊断宫颈腺体不典型小叶状增生,外院会诊结果同前,诊断明确。宫颈腺体不典型小叶状增生与P-J综合征密切相关,一部分宫颈不典型小叶增生患者可能同时合并有高分化胃型腺癌,不排除手术后标本出现癌变可能;另外P-J患者卵巢易出现环状小管性索瘤,该肿瘤虽为良性肿瘤,如果持续生长可能会造成卵巢功能减退,建议根据影像学评估侵犯范围后决定手术方式。

经多科室会诊讨论后,患者于2025年2月17日行腹腔镜下筋膜外全子宫+双侧附件切除术+盆腔粘连松解术。

术后病理  宫颈胃型腺癌(非HPV相关型),大体无法评估肿瘤大小,结合临床及影像学,肿瘤浸润深度<宫颈全层1/2,肌壁深层可见非典型叶状宫颈管腺体增生,未见脉管癌栓及神经侵犯,侵犯子宫体下段,左、右宫旁组织未见肿瘤;增殖期子宫内膜;双侧输卵管上皮局灶乳头状增生;双侧卵巢内可见多灶状环状小管性索瘤,伴囊性滤泡及包涵囊肿形成,右侧卵巢内另见胶原纤维结节状增生伴变性及异物巨细胞肉芽肿性炎。(左、右侧腹膜)示纤维结缔组织及脂肪组织。(盆腔肿物)示少许纤维结缔组织及无细胞黏液伴钙化。

免疫组化结果  【-19】CK7(+),CK20(-),ER(-),PR(部分-),p16(部分-),p53(野生型),Ki-67(30%+),Claudin18.2(+),CDX-2(+),MUC5AC(+),MUC6(+),MUC2(-),Vimentin(-)。【-10】S-100(+)。【-18】p16(-),MUC6(+),MUC5AC(+),Claudin18.2(+)。

最终诊断  子宫颈胃型腺癌ⅠB2期。

PART.06

预后及随访

2025年7月复查,妇科术后稳定。2025年12月患者于消化科复查,入院时乏力,间断出现双手、下肢痉挛及手足麻木感,食欲一般,体重较前下降,BMI:15.46 kg/m2,,呈贫血貌,颜面部及下肢水肿。实验室检查提示,血红蛋白 96.00 g/L,血小板计数 628.00×109/L,钾 2.51 mmol/L,钙 1.22 mmol/L,白蛋白 15.56 g/L,便潜血试验阳性。复查小肠CTE提示:① 消化道多发结节肿块,符合P-J综合征影像学表现;② 重度脂肪肝;③ 全子宫+双侧附件切除术后改变;盆腔及双侧腹股沟区多发较大淋巴结,同前相仿;④ 腹腔、盆腔积液,较前稍增多。

给予纠正离子紊乱、补充白蛋白等对症治疗,针对消化道息肉,患者及家属拒绝外科手术,继续定期行内镜下息肉切除治疗。

最终诊断

1. 黑斑息肉综合征(Peutz-Jeghers综合征);2. 子宫颈胃型腺癌B2期;3. 小肠肠套叠;4. 低蛋白血症;5. 低钙血症;6. 低钾血症;7. 贫血。

经验总结

宫颈胃型腺癌(gastric-type endocervical adenocarcinoma,G-EAC)为HPV 非依赖性宫颈腺癌最常见亚型,WHO 将其定义为具有胃型分化的黏液腺癌,占全部宫颈癌的0.15%~0.45%,该疾病症状不典型,筛查及活检阳性率低,早期治疗较困难。G-EAC多发生在成年妇女,发病中位年龄约为49 岁,多数患者以阴道黏液样或水样分泌物、盆腔和腹部肿块就诊,妇科检查可见宫颈膨大质硬,病变主要位于宫颈管的中上部,形成“管状”宫颈。实验室检查显示,约半数以上的患者存在非特异性CA19-9升高,部分可见CA125、CEA 升高。影像学检查中,MRI典型 征象是在多囊性病变征象基础上有实性增强成分,病变从子宫颈内膜侵及子宫颈肌层,也可表现为完全实性或囊性肿瘤。病理检查联合免疫组化可帮助鉴别诊断。

黑斑息肉综合征(Peutz-Jeghers syndrome,PJS)是一种罕见的常染色体显性遗传病,其分子发病机制与抑癌基因STK11发生杂合突变相关,以皮肤黏膜色素沉着、胃肠道多发错构瘤性息肉和肿瘤易感性为主要特征。国内外研究报道,PJS 发生妇科恶性肿瘤相对风险为普通人群的20.3 倍,其中 PJS 相关 G-EAC 的发病年龄(平均 33 岁)显著早于非 PJS 相关 G-EAC(平均 55 岁),且确诊时绝大多数患者处于进展期,预后较差。由于PJS合并G-EAC的临床报道多为个案或小宗病例,缺乏前瞻性的临床研究,临床医师对其认知尚存在一定的局限性。

我中心统计2013—2023年299例PJS女性患者,有30%(87例)合并有妇科疾病,其中宫颈病变47例,子宫病变15例。同期,PJS患者其母亲同为PJS的死亡原因统计显示子宫/宫颈癌居女性PJS死亡原因首位。基于前期的数据结果,2025 年度针对 6~60 岁 84 例女性 PJS 患者的进一步调查显示,85.7% 存在妇科症状(包括月经不规律、经量异常、痛经、子宫异常出血、阴道分泌物异常、阴道排液等),78.6% 影像学检查发现妇科病变,宫颈锥切病理提示恶性比例为 22.6%,全切病理提示恶性比例为 19.0%。

治疗方面,手术是主要的治疗方式,局部早期患者建议行广泛性子宫切除术+盆腔淋巴结切除术±腹主动脉旁淋巴结切除术,并切除双侧附件、大网膜、阑尾,同时对可切除的转移灶行肿瘤细胞减灭术以尽可能达到肉眼无残留,术后根据术中探查情况和病理诊断辅以放化疗±靶向治疗,值得注意的是,不推荐早期G-EAC患者保留卵巢和生育功能;局部晚期患者可先切除盆腔包块,后行同步放化疗±靶向治疗。NCCN和EHTG指南分别建议即使患者HPV 检查阴性,女性 PJS 患者也应从 18~20 岁和 25 岁开始,每年进行 1 次子宫颈涂片检查和阴道镜检查,以实现早发现、早诊断、早治疗。

作者简介

截屏2026-03-02 09.43.19.png
银新
空军特色医学中心消化内科 副主任医师

中华医学会消化内镜学分会食管疾病协作组   委员

北京医学会消化内镜学分会超级微创组 委员

北京市中西医结合学会消化专委会 委员

北京市整合医学学会 委员

中国罕见病联盟北京罕见病诊疗与保障学会消化病学分会 委员

微信图片_2026-03-02_094457_095.jpg
黄滋涵
空军特色医学中心

空军特色医学中心消化内科主治医师

主要从事消化道早癌、炎症性肠病及各种小肠疾病的诊断和治疗。

版权说明:本文来源于中国医学论坛报“罕见病临床思辨”专栏,欢迎个人转发至朋友圈,谢绝媒体或机构未经授权以任何形式转载至其他平台。

200 评论

查看更多