壹生大学

壹生身份认证协议书

本项目是由壹生提供的专业性学术分享,仅面向医疗卫生专业人士。我们将收集您是否是医疗卫生专业人士的信息,仅用于资格认证,不会用于其他用途。壹生作为平台及平台数据的运营者和负责方,负责平台和本专区及用户相关信息搜集和使用的合规和保护。
本协议书仅为了向您说明个人相关信息处理目的,向您单独征求的同意,您已签署的壹生平台《壹生用户服务协议》和《壹生隐私政策》,详见链接:
壹生用户服务协议:
https://apps.medtrib.cn/html/serviceAgreement.html
壹生隐私政策:
https://apps.medtrib.cn/html/p.html
如果您是医疗卫生专业人士,且点击了“同意”,表明您作为壹生的注册用户已授权壹生平台收集您是否是医疗卫生专业人士的信息,可以使用本项服务。
如果您不是医疗卫生专业人士或不同意本说明,请勿点击“同意”,因为本项服务仅面向医疗卫生人士,以及专业性、合规性要求等因素,您将无法使用本项服务。

同意

拒绝

同意

拒绝

知情同意书

同意

不同意并跳过

工作人员正在审核中,
请您耐心等待
审核未通过
重新提交
完善信息
{{ item.question }}
确定
收集问题
{{ item.question }}
确定
您已通过HCP身份认证和信息审核
(
5
s)

耳鸣背后,竟是致聋肿瘤!浙大二院精准除瘤+听觉重建,一步到位

2026-03-02作者:CMT琳资讯
非原创

五十多岁的张先生

三年前经历了一次

突如其来的“天旋地转”

……


突发眩晕+听力骤降
背后藏着 “隐形肿瘤”


那天他几乎站不稳,同时感觉左耳像隔了一层东西,听力明显下降。当时,他到医院就诊,根据突发出现的眩晕和听力下降,医生按照“突发性耳聋”进行了规范评估和治疗。


随着时间推移,眩晕症状逐渐缓解,但张先生听力却像被悄悄偷走了一样,再也没有回来,并伴随着耳鸣加重。


基于单侧听力长期不恢复,并伴有耳鸣的特点,当地医院建议进一步完善针对听神经瘤的内听道磁共振检查。


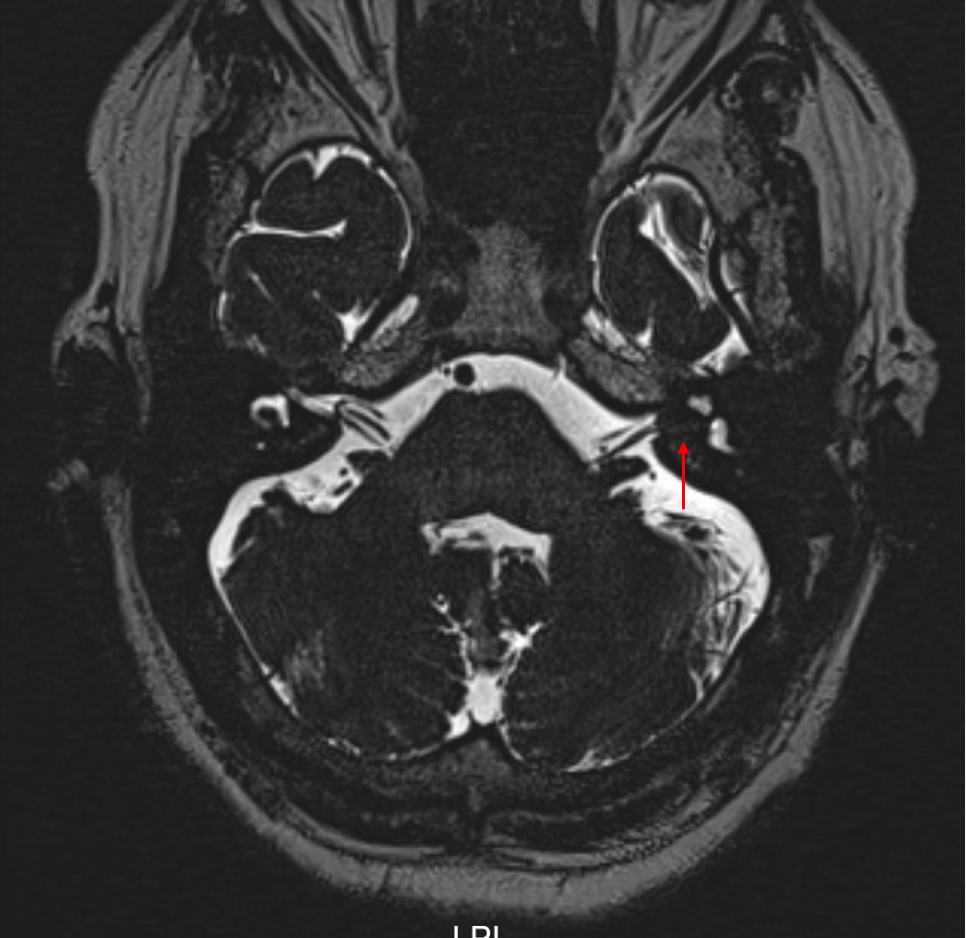
正是这次检查,发现他左侧内听道内,藏着一个约9×4mm的“东西”,影像学提示为左侧听神经瘤(前庭神经鞘瘤)。


内听道磁共振提示:左侧内听道内占位

红色箭头所指位置,可见内听道内的脑脊液(白色)被椭圆形的占位性病变(黑色)排开


两难抉择
手术切除肿瘤,就要放弃听力?


此时,他左耳听力已下降到重度,言语分辨能力也明显受损↓


纯音听阈显示:张先生左侧语频平均听阈为73dB,WHO听力分级(2021版)为重度听力损失,仅能感知雷声、鸣笛声,助听器效果极为有限……


言语测听显示:张先生左耳在100分贝下的言语识别率仅为64%(正常交流说话声音约为50-60分贝,言语识别率通常为100%)。


拿到影像报告和诊断结果后,张先生陷入了两难:肿瘤必须处理,但他并不愿意左耳从此坠入无声世界。


他反复向医生询问同一个问题:“是不是手术之后,这只耳朵就彻底听不到了?”


在多方咨询中,结合肿瘤所处位置以及当时的听力状况,给出的判断较为一致:按照常规手术思路,这只耳朵术后基本上不会有听力了……


浙大二院创新方案
肿瘤切除+人工耳蜗植入“一步到位”


后来,张先生被上转至浙江大学医学院附属第二医院(简称“浙大二院”),来到耳鼻咽喉科蒋骅主任医师门诊。


经过系统评估,蒋骅主任医师为他提出了一个不同的治疗思路↓


通过经迷路入路一次性完成听神经瘤的彻底切除,并在同侧同期植入人工耳蜗。


这意味着,手术的目标不仅是安全切除肿瘤,还希望在条件允许的前提下,让这侧耳朵能够重新听得见、听得懂。


蒋骅医生手术场景(资料图)


这个方案中,肿瘤切除的方式(经迷路入路)的优势在于:

• 相对安全,可以在不牵拉、压迫小脑的情况下暴露内听道。

• 暴露充分,理论上可以处理内听道内几乎任何大小的病变。


但它的“代价”在过去是不可避免的——切除迷路后,残余听力会完全丧失。


而随着人工耳蜗技术的发展,这个问题有了新的解法。通过同期植入人工耳蜗,用“电信号”替代原来的“声信号”,直接刺激耳蜗神经(听神经),这样,通过听觉通路就可以让大脑重新感受到“可被理解的声音”。

手术图(谨慎打开)


手术在严密的神经监测下进行。团队在充分暴露内听道后,小心分离、切除肿瘤组织,同时保留了面神经与耳蜗神经的结构完整。通过术中电刺激听觉脑干反应(eABR)等方法,进一步对耳蜗神经的功能完整性进行了评估。


随后,一枚人工耳蜗被精准成功植入。术中神经遥测(NRT)显示,耳蜗神经的螺旋神经节细胞对电刺激反应良好。


一个月后,人工耳蜗开机调试的那一刻,声音通过人工耳蜗的转换直接以电信号的形式传入大脑——张先生的左耳重新“听”见了。


患者至上
从 “切除肿瘤” 到 “兼顾生活质量”


在全球范围内,听神经瘤手术通常由神经外科、耳鼻咽喉科,或多学科团队协作完成。就肿瘤切除本身而言,已经是一项相当成熟的技术。


近年来,听神经瘤的治疗理念也在不断演进:从早期以“安全切除肿瘤”为核心,逐步发展到现在更加关注 “神经功能保留和术后生活质量”。在这个过程中,面神经功能保护的重要性已成为共识,而对听觉功能的关注,也在逐步前移。

但在实际临床中,是否具备保留或重建听觉的条件,往往并不是一个简单的问题。肿瘤的大小、位置,与神经的关系,以及患者个体差异,都会对决策产生重要影响↓


● 有些情况下,肿瘤体积较大或与重要神经血管关系密切,手术仍然以彻底、安全切除为先,听觉功能不得不被放在次要位置;


● 在另一些患者中,听力下降尚处于轻中度阶段,或是肿瘤体积不大、解剖关系相对清晰,是否有必要、有条件保留或重建听觉功能,就需要更为细致、全面的评估。


对耳科团队来说,听神经瘤患者的听力不只是一个数值,听觉也并非简单的“有”或“没有”。


浙大二院耳鼻咽喉科的耳科团队更关心的是:


● 负责传递声音信号的耳蜗神经是否仍然连续、完整?


● 是否还有可能通过技术手段,让患者在肿瘤切除后,重新获得有实用价值的听觉?


正是基于这样的思考,耳科团队对听神经瘤治疗的目标,不再局限于“把肿瘤切干净”,而是进一步延伸到为未来的听觉重建创造条件。


坦率地说,这种“切除+植入”的一体化方案,并不适用于所有患者。是否具备尝试听觉重建的条件,必须建立在充分评估的基础之上。


因此,在听神经瘤的诊疗过程中,耳科团队更加重视:


● 术前:系统、专业的听力学与神经功能评估;


● 术中:在安全切除肿瘤的前提下,尽可能保护面神经与耳蜗神经,并结合神经生理监测结果进行判断决策;


● 术后:规范、连续的听觉与言语康复支持。


真正决定最终效果的,往往并不只是手术台上的那几个小时,而是贯穿术前、术中与术后的完整管理过程。


来源:浙大二院

200 评论

查看更多