查看更多
密码过期或已经不安全,请修改密码
修改密码
壹生身份认证协议书
同意
拒绝
同意
拒绝
同意
不同意并跳过
基底动脉最常见的先天性畸形是开窗(fenestration)(发病率为0.28%~5.26%)。其他先天性基底动脉管腔内畸形在文献中鲜有报道。特别是,管腔内基底动脉隔膜(basilar septations)和基底动脉蹼(basilar webs)的病例报告非常罕见。虽然不常见,但这些变异可以在常规血管成像中被发现。
动脉开窗是血管腔的分段复制,分成两个内皮细胞排列的导管,它们有共同的起源并在远端重新连接。开窗是胚胎早期不完全融合的结果,导致发育异常,长度从1毫米到近整个动脉。大的开窗看起来像血管的“窗口”,而非常小的开窗看起来像血管壁上的『酒窝』。在尸检和影像学报告中,其患病率差异很大,血管造影报告的患病率为1.1%。此外,据报道,基于CTA和MRA的患病率为13%。虽然开窗与神经血管疾病之间的关系尚不明确,但已经观察到其与动脉瘤和缺血性卒中的关系。
基底动脉管腔内隔膜是一种极为罕见的先天性异常。据我们所知,只有2篇发表的文章描述了这种情况。这些文章将其描述为血管管腔内的条带(band)。这种变异最常见的部位是靠近椎动脉汇合处。1839年Davy 首先描述这一发现,他在98例尸检中发现了17例(17.35%)。最近的一篇文章是一个单一的尸体研究,在150具尸体(0.67%)的样本中发现1个隔膜。在这个病例中,隔膜长3毫米,宽1.5毫米。Tubbs等人认为,这些隔膜可能代表了一种顿挫型基底动脉开窗,可能会被误诊为夹层或血栓。在一些影像学病例报告中也有类似的发现,当伴随血栓形成和梗死时被认为是一种基底动脉蹼。值得注意的是,它不是位于分叉处,也和颈动脉蹼突出物样(ledge-like)影像学表现不同。事实上,颈动脉蹼的影像学表现在位置和形态上似乎与上述基底动脉隔膜是相同的。
2021年4月,来自美国的J.E. Small等在 AJNR 上发表了他们的研究结果,他们假设“基底动脉隔膜”或“基底动脉蹼”实际上是一种微型基底动脉开窗,也就是畸变基底动脉开窗(aberrant basilar fenestrations,aBFs)。
基底动脉开窗
分类
基底窗分为窗形、沙漏形或漏斗形:

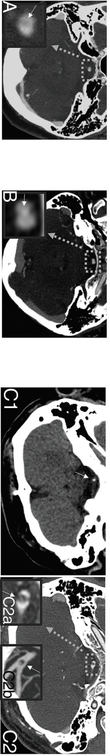
轴位CTA图像(A–C)和放大轴位CTA图像聚焦于不同患者的基底动脉开窗(A1、B1、C1)和后循环冠状位3D重建(A2、B2、C2),描绘了基底动脉开窗孔的不同形态:

2. 开窗伴钙化
3例基底动脉开窗的患者伴有钙化(3/59;5.1%)。其中一例患者的轴位CTA图像显示开窗(D,宽灰色箭头),其上方有一个小结节状钙化(E,细白色箭头),在冠状位MIP(F)和基底动脉3D重建(G)上更明显(粗灰色箭头为开窗,白色箭头为结节状钙化):

基底动脉隔膜

1. 隔膜随时间无改变(interval changes)
21名患者(0.6%)发现基底动脉隔膜:病例1,初次轴位CTA(A–C)表现为典型的基底动脉隔膜。注意到,血管内可见边界清晰的线性低密度,血管壁上未见到『窗』或明显的皱褶或凹陷(A–C,箭头):

1年后复查轴位CTA图像(D–F)显示间隔没有变化。一小部分患者进行了两次或以上的CTA,任何时间点皆未发现间隔变化的迹象:

2. CTA和MRA
病例2(G1)的轴位CTA图像显示基底动脉腹侧可见隔膜(白色箭头)。注意到,间隔前部较厚,后部明显变薄。这一发现在轴位MRA图像上得到了证实(G2,白色箭头):

另一位患者(H1)的轴位CTA图像显示沿基底动脉中央管腔可见一个隔膜(H1放大插图,箭头)。高质量的轴向MRA(H2,白色箭头)上证实了这一发现。虽然仅一小部分患者进行了MRA检查,但在这种技术上证实了存在隔膜:

基底动脉隔膜伴钙化或非钙化结节

1. 几个基底动脉隔膜的病例可见结节样改变
第一例(A)的轴向CTA显示基底动脉隔膜的中心一个结节(放大插图,白色箭头)。另一个患者的轴向CTA图像(B)显示结节中央钙化(B放大插图,白色箭头)。第三例患者(C2)的轴向CTA可见部分钙化的结节样隔膜。在平扫CT轴位图像上,可见钙化(C1,箭头)。在轴位CTA(C2a放大插图,白色箭头)和冠状MIP(C2b,白色箭头)图像上可见部分钙化的结节:

2. 基底动脉隔膜钙化
13例(13/21,61.9%)可见基底动脉隔膜伴局灶性钙化。6例不同患者(D-I)的轴向CTA图像显示不同的钙化模式,其中一些显示为线样模式(D–F,箭头),其他显示为结节状钙化(G–I,箭头):

作者认为,在这些aBFs病例中,没有一个像蹼或夹层。不像蹼,没有一个基底动脉隔膜位于动脉分叉处,也没有颈动脉蹼一样的突出物样(ledge-like)表现。另外,仅一例与后循环卒中有关(4.8%),没有一例伴随后循环出血、颅外动脉蹼或 FMD。所以,作者认为没有证据支持aBFs代表了动脉蹼或局部夹层,这些基底动脉血管腔内的发现纯属偶然发现,与病因(比如卒中)无关。aBFs对于血管内治疗有一定意义,比如基底动脉导管、支架置入或血管内治疗。
来源:脑血管病及重症文献导读(译者:杨中华)
转载已获授权,其他账号转载请联系原账号
查看更多