200
评论
查看更多
密码过期或已经不安全,请修改密码
修改密码
壹生身份认证协议书
同意
拒绝
同意
拒绝
同意
不同意并跳过
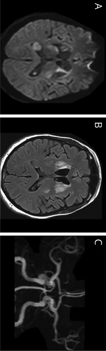
52岁,女性。
3周前进展性情绪异常,认知功能下降。因连续3次短暂性右侧偏瘫就诊。
MR DWI(A)、Flair(B)和TOF MRA(C)显示双侧纹状体和左侧放射冠急性和亚急性缺血性病变,MRA(C)未见近端动脉闭塞或狭窄:

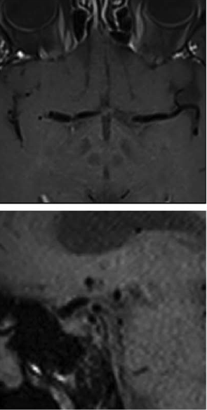
基于高分辨率黑血增强T1脂肪饱和加权血管壁成像平扫:

钆强化MR显示颈内动脉末端和双侧MCA同心圆强化:

因怀疑原发性中枢神经系统血管炎开始给予激素治疗,3个月复查强化消失:

来源:脑血管病及重症文献导读(杨中华)
查看更多