查看更多
密码过期或已经不安全,请修改密码
修改密码
壹生身份认证协议书
同意
拒绝
同意
拒绝
同意
不同意并跳过
小细胞肺癌(SCLC)侵袭性强、预后差,过去30多年来,传统治疗手段的局限性使广大患者的生存预后难以实现突破。近年来,免疫治疗的快速发展为ES-SCLC患者带来了长生存甚至临床治愈的新希望。在此背景下,《中国医学论坛报》联合中国临床肿瘤学会(CSCO)小细胞肺癌专委会,特别发起“为生命加油”小细胞肺癌长生存优秀病例展播项目,旨在通过征集并展示接受免疫治疗的ES-SCLC长生存案例,为临床医生提供宝贵的参考,推动ES-SCLC一线治疗策略的不断优化和完善,助力我国肺癌诊疗事业高质量发展。
本期,我们分享一例52岁广泛期小细胞肺癌(ES-SCLC)患者的真实诊疗历程。确诊之初,患者曾因原发肿瘤预后差、病情凶险,一度陷入绝望,甚至萌生放弃治疗的念头,进退维谷。然而,在医患共同努力与家庭支持下,他接受了免疫联合化疗及后续维持治疗,不仅顺利度过心包积液等危急时刻,更在治疗后实现肿瘤完全缓解(CR),无进展生存期(PFS)超过3年。如今,患者的生活质量显著改善,甚至亲力亲为在老家盖起了新房子,干重活也不在话下,生动诠释了免疫治疗为ES-SCLC患者带来的生命转机。
医者视角:超3年PFS远非终点,免疫治疗助力ES-SCLC走向更长生存未来
病例介绍
患者信息
一般情况:男性,52岁,已婚。
初诊信息:患者2022年8月出现咳嗽,夜间明显,伴少量白色黏痰,未就诊。2022年9月1日出现胸闷气促,活动后加重,夜间不能平卧。外院检查提示心包积液、胸腔积液,支气管镜活检确诊为(右肺总支)小细胞肺癌。行PET-CT提示右肺门占位,纵隔淋巴结转移,左肾上腺转移可能。为求进一步治疗拟入院。
既往史:高血压10余年,糖尿病5年,规律服药控制良好。甲状腺癌术后5年,胃穿孔术后8年。
个人史:吸烟饮酒史30年,未戒。家族史无特殊。
辅助检查
2022年9月外院检查:
支气管镜活检:(右肺总支)小细胞肺癌。
PET-CT: 1.右肺门占位,FDG摄取增高,考虑肺癌。右肺门及纵膈多发淋巴结转移。左肾上腺转移瘤可能性大。
2.双颌下、颈部及锁骨上淋巴结,FDG摄取未见异常,考虑炎性淋巴结,建议定期复查。
3.双肺微小结节(部分呈磨玻璃密度),FDG摄取未见异常。右肺上叶肺气肿。双肺多发肺大泡。双肺少许慢性炎症。左肺下叶钙化灶。双侧胸腔、右侧叶间及心包积液。
4.慢性胃窦炎。脂肪肝。肝脏囊肿。慢性胆囊炎。脾脏饱满。前列腺钙化。左半结肠及直肠炎。
5.右髂总动脉起始部斑片状FDG摄取增高灶,考虑炎性病变,建议专科随诊。
6.“甲状腺癌术后”:术区局部目前未见明确复发征象。双上颌窦及筛窦炎。鼻咽部顶后壁慢性炎症。
7.颅内未见明显占位及异常FDG摄取增高病灶,不除外低FDG代谢脑转移瘤,建议MRI检查。
2022-09-10 脑部MRI:未见明显脑转移迹象。
2022-09-11 颈部增强+胸部增强 :右肺上叶尖段支气管截断并上肺门占位,考虑中央型肺癌,伴右侧肺门及纵隔内多发淋巴结转移,请结合临床及纤支镜检查。右侧锁骨下多枚稍大淋巴结。两侧胸腔积液伴两下肺膨胀不全。心包积液。颈部CT增强未见明显异常。两侧上颌窦内炎症。
2022-09-13 全腹部平扫+增强 :左侧肾上腺结合部结节,建议结合MR增强检查。肝内多发低密度灶,囊肿可能,病灶较小,建议结合MR增强检查以除外转移可能。前列腺钙化灶。附见:心包积液;双侧胸腔积液。
诊断
1.小细胞肺癌广泛期(心包积液)
2.甲状腺癌术后
3.胃穿孔术后
4.高血压病
5.2型糖尿病
一线治疗
1、2022-09-14至2023年-01-06,一线行6周期化疗联合免疫治疗,具体用药为:斯鲁利单抗联合依托泊苷+卡铂(EC方案)。
2、1周期后,患者出现胸闷气促加重、全身酸痛伴无尿,至当地医院就诊,查心脏彩超:心包大量 积液(前心包 36mm 心尖部 28mm 后心包 22mm),急诊送至我院予心包穿刺引流。
引流液行病理检测:细胞学病理诊断结果:(心包液细胞块)见恶性肿瘤细胞,考虑转移性肺癌。免疫组化: CK5/6(-),NapsinA(-),TTF-1(+),P40(-),CK7(+),Calretinin(-),Wilms Tumor(-),CEA(-)。病理诊断:小细胞癌。PD-L1 TPS=30%。
3、一线6周期化疗联合免疫治疗后,予斯鲁利单抗免疫单药维持治疗至今,期间(2023年3月)予以海马保护的预防性脑放疗(HA-PCI):25GY/10F,经过顺利。
4、疗效评估:一线治疗2周期后疗效评估PR,6周期疗效评估达CR,患者肿瘤标志物持续降低,一线治疗1年及后期定期影像学复查,疗效评估维持CR。

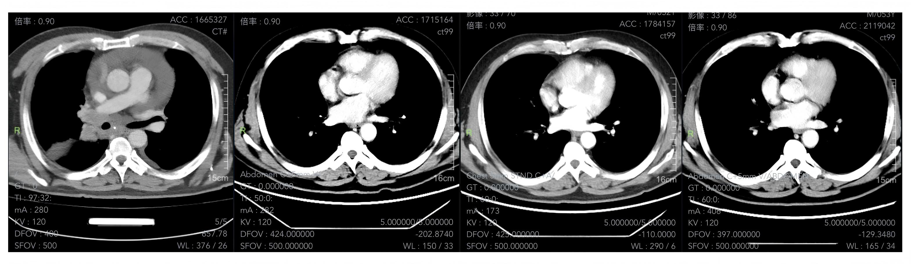
影像学检查图像(基线、2周期、6周期、治疗1年后)
肿瘤指标变化
5、治疗期间安全性评估:治疗期间未见明显免疫相关不良反应,总体安全性良好。
6、随访:至末次随访2025年10月,患者整体疗效评估CR,体能状态好,生活质量高,PFS超3年。
诊治体会
郑璐 主任医师
宁波市医疗中心李惠利医院放疗科
宁波市医学会放射肿瘤治疗学分会委员
宁波市中西医结合肿瘤专业委员会委员
浙江省抗癌协会整合肿瘤专业委员会青年委员
浙江数理医学胸部肿瘤多学科诊疗专委会委员
浙江数理医学肿瘤粒子与营养智能诊治专委会委员
中国医药教育协会肿瘤放射治疗专业委员会委员
作为本例患者的主诊医师,回顾其长达3年余的治疗历程,我深感免疫治疗为高瘤负荷、ES-SCLC患者带来的不仅是生存期的延长,更是生活质量的彻底改变。该患者初诊时病情凶险,除肺部原发灶外,合并大量心包积液、胸腔积液,整体状况差,治疗依从性低,一度拒绝治疗,临床处理极具挑战。
在制定治疗方案时,我们基于CSCO指南推荐及当时已公布的免疫联合化疗在ES-SCLC中的循证证据[1-2],结合患者合并症、经济因素等综合考量,为其选择了斯鲁利单抗联合EC方案化疗。治疗2周期后,患者疗效评估即达PR,6周期后疗效评估为CR,一线治疗1年及后期定期影像学复查,疗效评估维持CR,至今PFS已超3年,疗效远超传统化疗时代预期。
该病例的成功,不仅体现了免疫治疗在ES-SCLC中的长生存价值,也提示我们,对于初治抗拒、心理负担重的患者,医患沟通、家庭支持与快速起效的疗效体验同样关键。只有帮助患者建立信心,才能更好地推进规范、持续的治疗,最终实现长期高质量生存。
专家点评
刘开泰 主任医师
医学博士 硕导
宁波市李惠利医院放化疗一科 科主任
临床研究与成果转化中心 办公室主任
宁波市卫健青年技术骨干、领军拔尖人才
宁波市医学会放射治疗专委会委员
宁波市中西医结合学会肿瘤专委会秘书
浙江省医学会放疗专委会青委副主委
杭州临床肿瘤研究会县域肿瘤研究分会副主委
浙江省抗癌协会乳腺癌专委会青年委员
浙江省抗癌协会肿瘤防治科普专委会委员
浙江省医师协会胸部肿瘤专委会委员
浙江省数理医学会精准诊治专委会委员
中国人体健科会立体定向放射外科委员会委员
ES-SCLC恶性程度高、进展迅速,传统化疗疗效有限,患者中位生存期难以突破一年,是肺癌治疗中的“硬骨头”。本病例患者初诊时即伴有心包转移、胸腔积液,属临床高危类型,治疗难度大、预后差。
近年来,免疫治疗在小细胞肺癌治疗领域实现里程碑式突破。本病例中,患者接受斯鲁利单抗联合化疗后迅速达到PR,并在维持治疗阶段持续获益,最终实现CR并保持超3年,是免疫治疗在真实世界中成功实践的典范。同时,患者在一线免疫维持治疗期间(2023年3月)接受了HA-PCI,有效降低脑转移风险的同时,最大程度保护了认知功能,并在长期生存中保持了良好的生活质量,体现了“活得长,更要活得好”的现代肿瘤治疗理念。
本例患者成功实现CR,且PFS超3年振奋人心,但这远不是终点。正所谓,每一个生命都值得用尽一切办法去呵护、去实现更长时间、更优质的生存,这正是我们所有医疗工作者在临床实践中践行的核心理念。未来,我们将在规范化诊疗的基础上,持续探索和优化治疗策略,和广大患者并肩前行,共同奔赴更远的长生存未来。
参考文献
1、中国临床肿瘤学会指南工作委员会. 中国临床肿瘤学会(CSCO)小细胞肺癌诊疗指南-2022
2、2022 ASCO abstract 8505.
本文由刘开泰教授、郑璐教授审校
查看更多