查看更多
密码过期或已经不安全,请修改密码
修改密码
壹生身份认证协议书
同意
拒绝
同意
拒绝
同意
不同意并跳过
基本资料
患者:蒋XX,男性,55岁
主诉:发现慢乙肝7年,AFP异常增高1周。
现病史:患者2012年出现上腹部胀痛不适,轻度恶心,无呕吐,食欲差,进食量少伴有明显乏力、纳差,小便少。无发热,无全身瘙痒,至门诊查乙肝血清标志物HBsAg(+)、HBeAb(+)、HBcAb(+),予阿德福韦酯抗病毒至2016年,因肾功能异常改予恩替卡韦继续抗病毒治疗。定期复查,03-19查AFP 4259.50ng/ml,苏州永鼎医院就诊,查CT示:肝右叶多发低密度灶遂。进一步诊治入院。
体格检查:神志清晰,慢性肝病面容,全身皮肤、粘膜无明显黄染,未见肝掌、蜘蛛痣,心肺阴性,腹平软,腹壁静脉无曲张,肝脾肋下未及,莫菲氏征阴性。肝区无叩痛,移动性浊音阴性,肠鸣音3-5次/分,双下肢无凹陷性水肿。
辅助检查
实验室检查:
AFP : 甲胎蛋白 >2000.00μg/L
生化全套 :Bil-T28.20μmol/L,BIL-I18.0μmol/L,ALT18.6IU/ml,ALB41.9g/L,A/G2.2,Tch4.47mmol/L
血凝常规 :PT12.4秒,纤维蛋白原2.15gL,抗凝血酶原Ⅲ活性 73%
血常规 :Hb127g/L、WBC4.37*109/L、Plt125*9/L

2019.03.27 肝S7段肿瘤性病变,累及肝右静脉后壁


2019.04.01 肝VII段低密度灶,累及肝右静脉后壁及其分支
入院诊断:乙肝后肝硬化(代偿期),Child分级A,原发性肝癌。 于2019-04-03在全麻下行手术治疗
术中探查腹腔:肝脏中度结节性硬化,于S7可触及 一肿块,大小约3*3cm,其余脏器无明显异常及转移;
术中诊断:肝右后叶肿瘤侵犯右肝静脉; 行扩大肝右后叶切除术+胆囊切除术。
肝脏病理:

中分化肝细胞癌,脉管内见癌栓,周边呈结节性肝硬化改变
05-16术后40余天门诊复查:
AFP:甲胎蛋白 >2000.00μg/L;
血凝常规:凝血酶原时间 13.00sec、 INR1.130、抗凝血酶原Ⅲ活性测定 73%,凝血酶时间 18.70sec,纤维蛋白原 3.00g/L;
血细胞分析:PLT 110×10^9/L,WBC 10.90×10^9/L,N 0.871
生化全套:ALT38.0U/L, AST 36.9U/L,Bil-T 11.4μmol/L,Bil-I6.3μmol/L,BIL-D 5.10μmol/L,AKP72.8U/L,γ-GT 118.3U/L; ALB 36.3g/L,A/G 1.1,Glu5.14mmol/L,Tch 4.0mmol/L,LDH 2161.0U/L,超敏C-反应蛋白 >15.36mg/L, 前白蛋白 118.4mg/L。


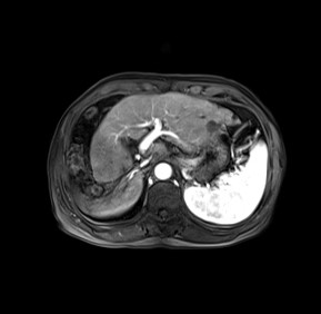
05-16,MRI: 肝脏多发异常信号影 肝硬化,脾大;右侧胸腔积液。
术后一月余,肝内广泛转移
中国肝癌临床分期及治疗路线图

一线靶向治疗肝癌疗效

Llovet JM, et al. N Engl J Med. 2008;359(4):378–390;
Cheng AL, et al. Lancet Oncol. 2009;10(1):25–34.
Kudo M, et al. Lancet. 2018 Mar 24;391(10126):1163-1173.
一线免疫治疗肝癌晚期数据
CHECKMATE-040研究结果(l期),未经索拉非尼治疗的HCC患者应用纳武利尤单抗中位OS达28.6个月。

未达到预先设定的OS统计差异阈值(P=0.0419 )纳武利尤单抗组中位OS 为16.4 个月,索拉非尼组中位OS则为14.7 个月。
一线肝癌免疫治疗方向的新探索:
①免疫联合抗血管:联合抗VEGF/VEGFR抗体,方案:T+A,信迪利单抗+贝伐珠单抗
②联合EGFR-TKI药物:典型的联合方案有仑伐替尼+Keytruda、卡瑞利珠单抗+阿帕替尼
③联合化疗:PD-1单抗+FOLFOX方案
④联合CTLA-4抑制剂
一线:免疫联合抗血管
阿特珠单抗+贝伐珠单抗用于晚期HCC的III期研究

研究结论:OS达到阳性结果

研究结论:PFS达到阳性结果
信迪利单抗联合血管靶向治疗,未来可期!
信迪利单抗联合VEGF单抗治疗一线肝癌的 III期随机、对照研究。

分层因素:
1.大血管侵犯和/或肝外扩散(有 vs. 无);
2.基线AFP(<400 ng/mL vs. ≥400 ng/mL);
3. ECOG评分(0 vs. 1)
每6周评估一次疗效 ;治疗2 年或直到无临床获益、不可耐受毒性、退出或研究者决定停止治疗。
一线:免疫联合TKI
A Phase 1b Study of Lenvatinib plus Nivolumab in Patients With Unresectable Hepatocellular Carcinoma(Study 117)

2020 ASCO abstract 520
患者根据体重接受仑伐替尼口服治疗 (body weight ≥ 60 kg: 12 mg/day; body weight < 60 kg: 8 mg/day), nivolumab 240 mg每两周静滴。 第一部分,评估剂量限制性毒性;第二部分的患者,诊断为uHCC且未接受过其他系统性治疗 lORR使用mRECIST评估. 安全性事件使用CTCAE 4.03 评估 使用Kaplan–Meier 方法评估事件到达时间的终点。
疗效评估:

a Per study protocol, confirmation of response at a later time point was not required.
b ORR = proportion of CR + PR.
c DCR = proportion of CR + PR + SD (duration from cycle 1 day 1 to SD has to be ≥ 7 weeks).
d CBR( clinical benefit rate )= CR + PR + durable SD (duration of SD has to be ≥ 23 weeks).
2020 ASCO abstract 520
大部分患者出现明显肿瘤病灶的减小

2020 ASCO abstract 520
仑伐替尼+帕博利珠单抗治疗不可切除性HCC的1b期研究

注:BCLC:巴塞罗那肝癌临床分期;DLT:剂量限制性毒性;DOR:缓解持续时间;ECOG:东部肿瘤协作组;IIR:独立影像学评估;IR:研究者评估;IV:静脉注射;LEN:仑伐替尼;PEM:帕博利珠单抗;mRECIST:改良实体瘤疗效评估标准;TACE:经动脉化疗栓塞;ORR:客观缓解率;OS:总生存期;PFS:无进展生存期;PK:药代动力学;TTP:至疾病进展时间;uHCC:不可切除性肝细胞癌
主要终点:安全性和耐受性;IIR根据RECIST 1.1和mRECIST标准评估的ORR和DOR(第2阶段)
选择的次要和探索终点:PFS ;TTP ;OS ;PK ;PEM的抗药物抗体;IR和IIR根据mRECIST标准及IIR根据RECIST 1.1标准完成肿瘤评估。
研究结论:

联合治疗可能为患者带来更多获益,但相关研究的样本量都很小,有待大样本III期研究的进一步证实。
治疗方案:
降肿瘤负荷:TACE
免疫治疗:信迪利单抗 200mg Q3W
TIK治疗:索拉菲尼400mg BID
5月19日行C-TACE


栓塞碘油与艾恒的混合乳剂5ml+适量明胶海绵颗粒
治疗经过:

至2020.2.26患者使用免疫治疗12个周期
2019.4.3扩大右后叶切除术、胆囊切除术
2019.5.21加用免疫治疗信迪利单抗联合多吉美
2019.5.29经导管肝动脉化疗栓塞术


5.16

7.18

10.10

12.11

5.16

7.18

10.10

12.11
药物不良反应:
信迪利单抗:最初三周出现发热,胸背部出现充血,皮疹 ,经对照处理消失
素拉菲尼:出现III级手足反应,14天改为200mg QD
疗效评估:
目前患者自2019.05.21使用信迪利单抗联合索拉菲尼治疗10月余,根据TrRECIST 标准达到CR。
查看更多