壹生大学

壹生身份认证协议书

本项目是由壹生提供的专业性学术分享,仅面向医疗卫生专业人士。我们将收集您是否是医疗卫生专业人士的信息,仅用于资格认证,不会用于其他用途。壹生作为平台及平台数据的运营者和负责方,负责平台和本专区及用户相关信息搜集和使用的合规和保护。
本协议书仅为了向您说明个人相关信息处理目的,向您单独征求的同意,您已签署的壹生平台《壹生用户服务协议》和《壹生隐私政策》,详见链接:
壹生用户服务协议:
https://apps.medtrib.cn/html/serviceAgreement.html
壹生隐私政策:
https://apps.medtrib.cn/html/p.html
如果您是医疗卫生专业人士,且点击了“同意”,表明您作为壹生的注册用户已授权壹生平台收集您是否是医疗卫生专业人士的信息,可以使用本项服务。
如果您不是医疗卫生专业人士或不同意本说明,请勿点击“同意”,因为本项服务仅面向医疗卫生人士,以及专业性、合规性要求等因素,您将无法使用本项服务。

同意

拒绝

同意

拒绝

知情同意书

同意

不同意并跳过

工作人员正在审核中,
请您耐心等待
审核未通过
重新提交
完善信息
{{ item.question }}
确定
收集问题
{{ item.question }}
确定
您已通过HCP身份认证和信息审核
(
5
s)

食管胃底静脉曲张遇上多发NET的内镜治疗 | 中日携手・遵医领航㉒

2025-10-17作者:论坛报马山资讯
原创

72c5008d24e925818ec9756bf75ef0f.png

↑↑点击图片进入专题↑↑

亲爱的读者朋友,您的意见对我们非常重要!为了更好地了解您的需求,提升文章内容质量,诚邀您花几分钟参与本次有奖问卷调研。参与者有机会获得精美奖品!

点击填写问卷调研


  • 上期回顾

李红平简介.png

杨媛简介.png

PART.01
病史简介


患者男性,54岁,因“发现胃体神经内分泌瘤4+月”入院。


现病史:4+月前于当地医院行胃镜检查提示:1、食管胃底静脉曲张:2、门静脉高压性胃病:3、胃体多发黏膜隆起性质。活检病理提示:(胃体)神经内分泌瘤。患者无腹痛、腹胀、腹泻,无畏寒、发热,无恶心、呕吐,无劳累、乏力不适,为进一步就诊于我院,门诊以“胃肿瘤:胃多发神经内分泌瘤”收入我科。


既往史:糖尿病12年,规律治疗。4+年前于当地医院诊断酒精性肝硬化;2+年前因小肠坏死穿孔于我院行“开腹探查+小肠切开减压术+回肠造口术+腹腔脓肿切开引流术”,8+月前返院行“回肠造口还纳术”。4+月前外院行食管胃底静脉曲张一级预防治疗。


PART.02

体格检查


体温36.3 ℃,心率72次/分,呼吸19次/分,血压124/76 mmHg。慢性肝病面容,全身皮肤黏膜无黄染,未见出山点及瘀斑,双肺呯吸音清,未闻及干湿啰音。心界不大,心率72次/分,律齐,各瓣膜听诊区未闻及杂音。腹膨隆,无胃肠型及蠕动波,无压痛、反跳痛及肌紧张,腹部正中见一长约15 cm手术疤痕,肝脾触诊不满意,移动性浊音阴性,肠鸣音无亢进,双下肢无水肿。


PART.03
辅助检查


血常规:白细胞 3.38x109/L,红细胞 3.58x1012/L,血红蛋白 82g/L,血小板 239x109/L。大便常规:黄褐色软便,潜血弱阳性。肝功能:谷丙转氨酶 10U/L,谷草转氨酶 30U/L,碱性磷酸酶166U/L,谷酰胺基转移酶40 U/L,总胆红素 22.1 μmol/L,ALB 32.7 g/L。凝血功能:国际标准化比率1.26,凝血酶原活动度69%。贫血二项:叶酸15 nmmol/L,维生素B12 78 pmol/L。壁细胞抗体:阳性。内因子抗体 阴性。


上腹部CT:肝硬化,脾大,脾小片梗死,大量腹水,脾-肾静脉分流,门静脉海绵样变性,胆囊结石,胃内多发高密度影,考虑术后改变。胸部CT:双肺散在大疱,双肺少许纤维化。双侧部分肋骨形态不规则。左侧胸腔积液。双侧男性乳腺发育。心电图:正常心电图。


胃镜检查:1.食管胃静脉曲张(重度)术后改变 2.胃体静脉曲张 3.自身免疫性胃炎? 4.胃体多发隆起性质:NET?(图1)


image.png

图1:食管距门齿25 cm以下见2条迂曲状静脉曲张,直径约4~5 mm,胃底见环绕贲门四壁散在迂曲状静脉曲张,部分黏膜见白色瘢痕,胃体黏膜粗糙变薄,红白相间,花斑样充血,见多发静脉曲张,另胃底、体见多发黏膜隆起,直径月0.4~0.5 cm,表面色泽发红,中央凹陷,NBI模式下病变边界清晰,IPCL呈螺旋状扩张。


PART.04
诊断


1.胃恶性肿瘤:胃体多发神经内分泌瘤?

2.酒精性肝硬化(失代偿期)

3.食管胃静脉曲张(重度)

4.自身免疫性胃炎

5.中度贫血

6.维生素B12缺乏

7.2型糖尿病


PART.05
治疗经过


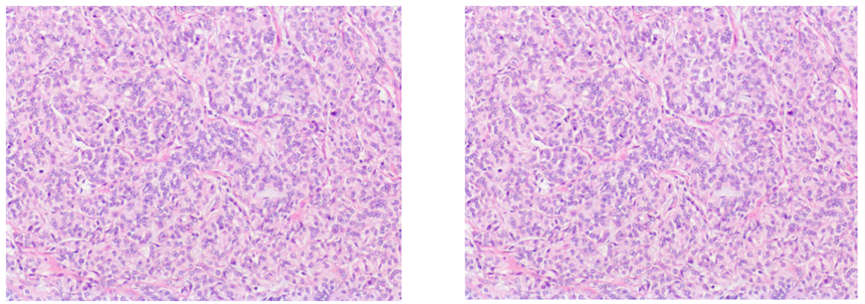
患者入院后积极完善相关术前检查。择期行内镜下多环套扎黏膜切除术(multiband mucosectomy,MBM):胃底、体黏膜粗糙变薄、粗糙,红白相间,花斑样充血,胃体见多发黏膜隆起,直径约0.4~0.5 cm,表面稍充血,在隆起病变处周围约0.5 cm处做标记,后予以安杰思五环圈套器一幅,分别于病变处套扎5环,再予一次性电圈套器在套扎环的上端高频电凝电切除送检,创面少许渗血,止血钳电凝止血后再予夹子装置(16mm)5枚分别夹闭创面,8%去甲肾上腺素冰盐水局部冲洗观察局部无出血(图2)。病理:(胃体)肿瘤性病变,结合HE形态及免疫表型,符合神经内分泌瘤(NET G1)。肿瘤细胞呈腺样、巢团状的器官样结构,细胞核细腻,可见胡椒盐样染色质。可见核仁,细胞瘤巢之间见丰富的血窦。CK(+++),Syn(+),Ki-67热点区2%(+)(图3-4)。


image.png

图2:经内镜下胃黏膜套扎高频电凝电切术


image.png

图3: HE染色


image.png

图4:免疫组化


胃神经内分泌瘤(Gastric Neuroendocrine Neoplasms, G-NENs)是一类起源于胃黏膜神经内分泌细胞的罕见肿瘤。1型G-NENs:最常见(约占70%~80%),与自身免疫性胃炎密切相关。因胃壁细胞减少导致胃酸缺乏,刺激胃泌素分泌升高,进而引发神经内分泌细胞增生、癌变。肿瘤多为多发、体积小(通常<1 cm),恶性程度低,转移率低(<5%)。该患者有酒精性肝硬化失代偿期的基础病史,胃镜同期发现食管胃底静脉曲张及胃体多发神经内分泌瘤,在治疗策略上首先行食管胃底静脉曲张的内镜下治疗,避免导致急性上消化道出血。择期再次行内镜下多环套扎黏膜切除术。术后病理考虑神经内分泌瘤(G1)。


内镜下黏膜剥离术(ESD)被广泛应用于胃肠道NENs的治疗,且效果良好。对于较大的病变,ESD在病变完整切除率方面具有明显的优势。近年来,国内外相关研究表明,对于直径<10 mm的病变,内镜下多环套扎黏膜切除术(MBM)的完整切除率与ESD相当。因此,当病变呈多发,且未发现黏膜下累及的胃肠道NENs,MBM更能体现其高效性及安全性。


明日预告

结肠困难病变的内镜治疗 | 中日携手・遵医领航  

作者:遵义医科大学附属医院 李红平


640?from=appmsg
点击图片返回专题
image.png
200 评论

查看更多