壹生大学

壹生身份认证协议书

本项目是由壹生提供的专业性学术分享,仅面向医疗卫生专业人士。我们将收集您是否是医疗卫生专业人士的信息,仅用于资格认证,不会用于其他用途。壹生作为平台及平台数据的运营者和负责方,负责平台和本专区及用户相关信息搜集和使用的合规和保护。
本协议书仅为了向您说明个人相关信息处理目的,向您单独征求的同意,您已签署的壹生平台《壹生用户服务协议》和《壹生隐私政策》,详见链接:
壹生用户服务协议:
https://apps.medtrib.cn/html/serviceAgreement.html
壹生隐私政策:
https://apps.medtrib.cn/html/p.html
如果您是医疗卫生专业人士,且点击了“同意”,表明您作为壹生的注册用户已授权壹生平台收集您是否是医疗卫生专业人士的信息,可以使用本项服务。
如果您不是医疗卫生专业人士或不同意本说明,请勿点击“同意”,因为本项服务仅面向医疗卫生人士,以及专业性、合规性要求等因素,您将无法使用本项服务。

同意

拒绝

同意

拒绝

知情同意书

同意

不同意并跳过

工作人员正在审核中,
请您耐心等待
审核未通过
重新提交
完善信息
{{ item.question }}
确定
收集问题
{{ item.question }}
确定
您已通过HCP身份认证和信息审核
(
5
s)

临床故事丨长了17年的巨大肿瘤,完整切除!

2024-08-23作者:论坛报岳岳资讯
非原创

患者江女士,44岁,

17年前发现左上后纵隔占位,

近年来出现胸背疼痛、呼吸不畅,

复查胸部CT,肿物明显增大,

严重压迫食管、气管、脊髓等,

辗转到华西医院就诊治疗。


今天,让我们一起来看,四川大学华西医院胸外科马林副教授团队联合骨科李涛教授团队,为这位患者实施难度极高的“经左胸联合后路胸3-4椎矢状位肿瘤整块切除术”。


肿物长了17年,严重压迫重要脏器


44岁的江女士来自贵州,17年前体检发现左上后纵隔占位,因为惧怕手术风险没有及时治疗,近年来患者自觉出现胸背疼痛、呼吸不畅。


最近,江女士复查胸部CT显示,肿物明显增大,严重压迫食管、气管、锁骨下动脉等重要脏器和胸段脊髓,影响患者肢体功能,若脊髓进一步受压将导致患者高位截瘫,甚至危及患者生命。多家医院均表示肿瘤切除难度太大,江女士为求进一步治疗,来到了华西医院胸外科马林副教授门诊就诊。


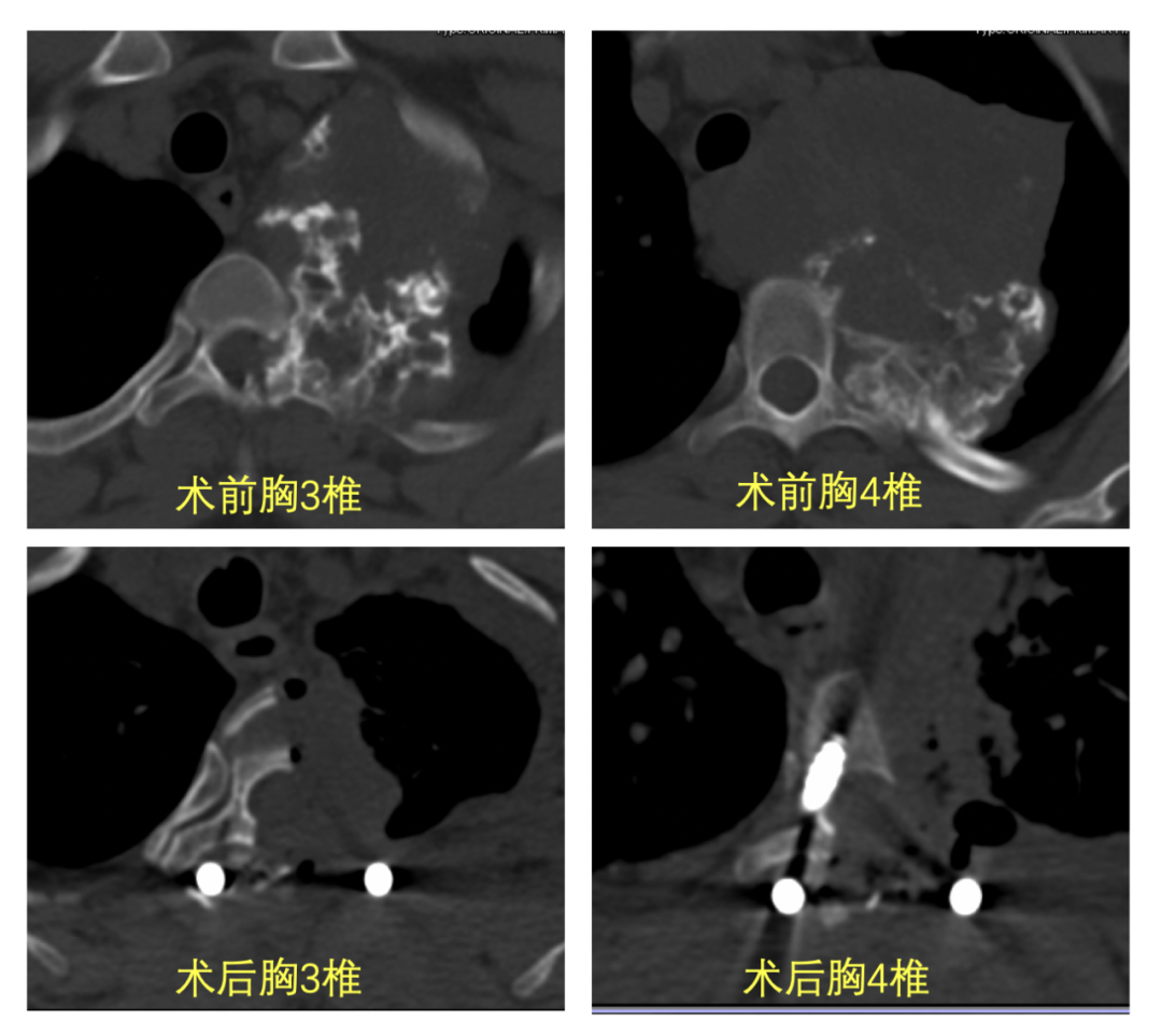
在华西医院经胸部CT检查显示,江女士纵隔肿块横跨左侧胸1-6椎旁,最大截面约10.6 cm×9.5 cm,肿瘤性病变可能性大,肿块内多发高密度影,来源于软骨可能,周围血管、气管及食管受压,左侧锁骨下动脉略包埋、变窄,胸3-4椎体左侧、左侧第3、4肋骨近段破坏。



颈胸交界肿瘤,手术难度高、风险大


围绕患者病情,马林副教授团队联合多个学科进行讨论,经过与脊柱外科、麻醉科、血管外科、肿瘤科等多学科的充分讨论后,决定联合骨科李涛教授团队为患者实施“经左胸联合后路胸3-4椎矢状位肿瘤整块切除术”。


之所以前期多家医院不愿接手,因为该手术难度高、风险大,主要有两点原因:


01

肿瘤生长的部位位于颈胸交界区,这个区域不仅有气管、食管等重要结构,还有直接从心脏主动脉弓发出的大血管,如锁骨下动脉、头臂动脉静脉、椎动脉等,此外椎旁还有交感神经、胸导管、臂丛神经、脊髓等重要结构。

02

肿瘤周围的这些结构非常娇弱,一旦损伤,可能出现术中大出血或脊髓损伤,后果十分严重。


7个多小时手术,成功完整切除肿瘤


马林副教授和李涛教授团队与患者及家属进行了充分沟通,经过与麻醉科孙琪荣团队、血管外科王铁皓副教授团队充分讨论,进行了扎实的术前准备,包括手术切除方案、术中可能并发症及应对措施,以及术后并发症的预防和处置方案等。


7月10日,手术按计划进行。首先,由李涛教授团队经后方椎旁充分显露+置钉;然后,马林副教授经左侧开胸、胸壁部分切除显露分离肿瘤外侧及腹侧、左侧胸2-4肋骨切除;接着,再由脊柱肿瘤团队进行左侧胸3-4椎体矢状位切除+肿瘤切除、植骨融合内固定。



7个小时后,手术顺利结束,未出现脊髓损伤、臂丛损伤、胸导管损伤、Horner综合征等并发症。术中胸外科团队将肿瘤累及的纵隔结构如食管、气管、主动脉进行充分的游离,为脊柱骨肿瘤团队进行彻底的矢状位椎体肿瘤切除提供了安全保障。



江女士转入重症监护室继续治疗,术后第一天便拔除气管插管,顺利转回胸外科病房,术后引流管顺利拔出;术后第二天便佩戴支具起床活动,复查胸部CT显示肿瘤切除完整、内固定位置良好,无继发肺部感染及其他并发症。


经多学科医护团队共同协作,江女士恢复良好,已正常进食,术前的憋气、胸背痛等症状明显改善,已于7月19日(术后第六天)顺利出院。



华西多学科团队,为患者保驾护航


椎骨来源的纵隔巨大肿瘤较为少见,椎旁肿瘤通常选择整块切除的方式进行手术,最大程度地去除肿瘤及其周围可能存在的微小肿瘤细胞,降低局部复发的风险。而对于侵袭多节段椎骨,特别是胸椎上段的大尺寸肿瘤,常累及重要血管、脊髓及肺等器官,整体切除较为复杂,并发症发生率较高。


为了获得满意的脊柱肿瘤切除手术切缘,当肿瘤特别巨大,推测切除可能需要复杂的操作时,采用开胸联合脊柱后入路更为合适。


该入路可以同时从侧方和后方充分暴露肿瘤,提供更广泛的视野,有助于更安全的彻底切除复杂或大体积的肿瘤。同时,因其手术步骤复杂,手术风险极高,需要胸外科、脊柱外科、麻醉科和手术室等多学科精细配合和术后的全面管理,最大限度地减少并发症,提高手术成功率和患者的生存质量。


此次手术中,华西医院胸外科、骨科、手术室、麻醉科和重症监护室等多学科团队紧密协作,以精湛的专业技术和团队精神充分为患者提供了高效安全的治疗方案,取得满意疗效,充分展现了华西医院多学科联合的巨大优势。


本文专家




来源:四川大学华西医院

200 评论

查看更多