壹生大学

壹生身份认证协议书

本项目是由壹生提供的专业性学术分享,仅面向医疗卫生专业人士。我们将收集您是否是医疗卫生专业人士的信息,仅用于资格认证,不会用于其他用途。壹生作为平台及平台数据的运营者和负责方,负责平台和本专区及用户相关信息搜集和使用的合规和保护。
本协议书仅为了向您说明个人相关信息处理目的,向您单独征求的同意,您已签署的壹生平台《壹生用户服务协议》和《壹生隐私政策》,详见链接:
壹生用户服务协议:
https://apps.medtrib.cn/html/serviceAgreement.html
壹生隐私政策:
https://apps.medtrib.cn/html/p.html
如果您是医疗卫生专业人士,且点击了“同意”,表明您作为壹生的注册用户已授权壹生平台收集您是否是医疗卫生专业人士的信息,可以使用本项服务。
如果您不是医疗卫生专业人士或不同意本说明,请勿点击“同意”,因为本项服务仅面向医疗卫生人士,以及专业性、合规性要求等因素,您将无法使用本项服务。

同意

拒绝

同意

拒绝

知情同意书

同意

不同意并跳过

工作人员正在审核中,
请您耐心等待
审核未通过
重新提交
完善信息
{{ item.question }}
确定
收集问题
{{ item.question }}
确定
您已通过HCP身份认证和信息审核
(
5
s)

脊髓硬脊膜动静脉瘘合并中枢神经系统感染1例 | 协和神经科临床病例精粹

2026-03-17作者:论坛报寒夜资讯
原创
作者:北京协和医院 沙宇惠 牛婧雯 倪俊


PART 01
病例摘要




患者男性,48岁,主因“双下肢无力7个月,发热、头痛一个半月”入院。


图片


入院情况



2024年4月,患者无诱因出现双下肢无力,尚可行走,上楼梯费力。2024年7月27日,患者晨起后发现双下肢无力加重(2天内加重到2级),伴下肢麻木,尿便障碍;胸腰椎增强磁共振成像(MRI)示胸腰段脊髓弥漫性病变伴强化(图1);腰穿脑脊液压力150 mmH2O,白细胞9*106/L,糖4.7 mmol/L,氯化物126 mmol/L,蛋白0.47 g/L,寡克隆区带(OB)阴性;血抗水通道蛋白4(AQP4)、髓鞘少突胶质细胞糖蛋白(MOG)、胶质纤维酸性蛋白(GFAP)-IgG(-);血肿瘤标志物、抗核抗体(ANA)、布氏杆菌凝集试验(-);诊断脊髓炎,予以静脉滴注甲泼尼龙1 g qd*3 d→500 mg qd*3 d→240 mg qd*3 d→序贯口服甲泼尼龙60 mg qd 每周减1片,出院时双下肢基本无法活动。经过康复锻炼,2024年8月,患者双下肢可抬离床面,自觉麻木平面下降,有尿意,间断导尿。



2024年9月22日,患者发热、头痛(当时甲泼尼龙减至40 mg qd口服),双下肢无力明显加重,伴有胡言乱语、精神异常。2024年9月27日,患者意识模糊,颈项强直;脑脊液:压力340 mmH2O,黄色浑浊,白细胞383*106/L,糖1.82 mmol/L↓,氯化物109.4 mmol/L↓,蛋白7.53 g/L↑,宏基因组学二代测序水痘-带状疱疹病毒(VZV)序列数3499,Xpert(-);头颅计算机体层摄影(CT)示幕上幕下脑积水;考虑脑疝,转入ICU行脑室外引流术,予以阿昔洛韦抗病毒、四联抗结核治疗,地塞米松抗炎。2024年10月3日,患者意识好转,头颅MRI示右侧顶枕叶点状、胼胝体压部DWI高信号,ADC减低。2024年10月10日复查腰穿脑脊液压力>400 mmH2O,黄色浑浊,蛋白5.8 g/L↑,白细胞247*106/L,糖7.42 mmol/L,氯化物108.5 mmol/L↓;腰穿后再次脑疝,留置脑室外引流。2024年10月29日转入普通病房,家属发现双耳听力下降,当地考虑中枢神经系统VZV感染、结核感染不除外,予以抗病毒、抗结核、脱水降颅压治疗约1个月,患者头痛好转,精神行为异常明显,双下肢肌力0级。2024年11月5日就诊于我院急诊,头颅增强MRI提示多发性脑梗死(图2)、硬脑膜强化(图3);历次腰穿结果见表1。病来,患者精神、食欲、睡眠欠佳,留置尿管,辅助通便,体重无明显下降。


image.png

图1 胸腰髓增强MRI


image.png

图2 头颅常规MRI+SWI


image.png

图3 头颅增强MRI


压力

(mmH2O)

白细胞

×106/L

蛋白

g/L

mmol/L

氯化物

mmol/L

宏基因组学

二代测序

其他

2024.7

150

9

0.47

4.7

126


OB-

2024.9.27

340

383

7.53

1.82

109.4

VZV 3499

Xpert-

2024.10.10

>400

247

5.8

7.42

108.5

EBV 3



VZV不详


2024.11.6

165

57

1.87

3.9

119

VZV 39



EBV 7

细胞学淋巴细胞性炎症Xpert-OB/SOB+IL-6 182 pg/mLIL-10 16.9 pg/mL

表1 历次腰穿情况汇总


图片


既往史、个人史、家族史



冠心病1年,支架植入术后,近3个月未口服抗板药物;高血压,控制良好;否认皮肤疱疹史,但妻子5年前曾患带状疱疹。长期吸烟史,家族史无特殊。


图片


查体



神清,胡言乱语,定向障碍,双耳听力明显下降,构音清晰;颅神经:双侧瞳孔直径4 mm,直接、间接对光反射迟钝,左眼相对性传入性瞳孔障碍(+)。

双下肢肌力0级,双下肢腱反射消失,双侧病理征(-);双上肢肌力4级以上,双上肢腱反射对称引出;T6水平以下针刺觉消失;双髋关节及以下音叉震动觉消失;颈软,颏胸距2指。


图片


辅助检查



头颅MRA:椎动脉(R-VA)、基底动脉(BA)、右大脑中动脉(R-MCA)、右大脑后动脉(R-PCA)多发节段性重度狭窄(图4)。

头颅CT:鞍上池、脚间池、桥前池蛛网膜下腔出血(图5)。


image.png

图4 头颅MRA


image.png

图5 头颅CT


图片


诊治经过



患者定位诊断考虑胸段脊髓、大脑皮层、脑膜、视神经、听神经受累。定性诊断方面,患者整体病程分为两个阶段,第一阶段为脊髓病,第二阶段为中枢神经系统感染。



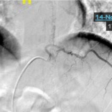
第一阶段病程:患者亚急性起病,病初为双下肢无力,3个月期间无明显变化,3个月后突然急性加重,不符合急性脊髓炎的病程特点,结合下胸段脊髓长节段长T2信号、水肿明显、脊髓可见可疑的血管流空影,需考虑脊髓血管病。进一步完善颈胸腰椎增强MRI,可见胸髓多发斑片状异常信号、脊膜不均匀增厚伴强化、脊髓周围多发迂曲血管影、脊髓表面含铁血黄素沉积(图6)。脊髓数字减影血管造影(DSA)可见左侧T10肋间动脉造影时早期静脉充盈、迂曲扩张,考虑为硬脊膜动静脉瘘(SDAVF)可能大(图7)。治疗方面,于神经外科行硬脊膜动静脉瘘切除术。


image.png

图6 胸髓增强MRI


image.png

图7 脊髓DSA


第二阶段病程:大剂量激素冲击治疗后出现发热、头痛、精神行为异常,腰穿脑脊液白细胞明显升高,考虑免疫抑制后继发感染性脑膜脑炎。脑脊液宏基因组学二代测序VZV序列数高,经抗病毒治疗后颅压、白细胞、蛋白及VZV序列数均明显下降,支持中枢神经系统VZV感染。此外,患者脑脊液蛋白显著升高,糖、氯化物降低,血结核感染特异性T细胞检测阳性,影像上脊膜增厚明显,需考虑合并中枢神经系统结核感染不除外。患者多发性脑梗死、局部蛛网膜下腔出血,颅内动脉多发节段性中重度狭窄,需考虑合并感染性血管炎可能。治疗方面,予以足量、足疗程抗病毒治疗及抗结核治疗。


图片


出院诊断



1. 硬脊膜动静脉瘘(左侧T10)

2. 中枢神经系统感染

    2.1 水痘-带状疱疹病毒感染

    2.2 结核感染不除外

    2.3 感染性血管炎


图片


出院随访



1年后随诊,患者精神症状消失,认知恢复到病前水平。腰部肌肉力量有所恢复,右下肢恢复部分活动(2级),腰部以下感觉有所恢复,发麻胀,仍留置尿管,但有尿意。



PART 02
文献复习




脊髓硬脊膜动静脉瘘(SDAVF)是由于脊髓神经根动脉和静脉之间的异常连接导致静脉淤血,这可能导致脊髓静脉性水肿,多见于胸腰段(Th6至L2之间)。该病常见于中老年患者,表现为非特异性的进行性脊髓病症状,容易漏诊或误诊为脊髓炎或其它疾病,发病率约为每年5~10/百万人。典型影像学表现为髓内T2高信号即脊髓水肿表现,髓周血管流空信号以及外周边缘T2低信号(含有脱氧血红蛋白的缓慢血流),脊髓DSA检查发现早期静脉充盈、神经根髓静脉的逆行充盈以及静脉回流延迟为确诊的“金标准”。治疗方面以血管内栓塞或外科手术结扎/切除瘘口为主,外科手术成功率更高。



专家简介


沙.jpg

北京协和医院

沙宇惠

  • 中国医学科学院北京协和医院神经科博士生研究生在读,住院医师。

  • 熟悉神经科常见病诊疗流程,主要课题方向为脑血管病,发表SCI及中文核心期刊论文数篇。


WPS图片(1).jpeg

北京协和医院

牛婧雯 副主任医师

  • 北京协和医院神经内科副主任医师,主要从事周围神经病、运动神经元病和肌肉疾病的诊断和治疗研究。

  • 北京神经科学学会周围神经与疾病专业委员会委员,北京医学会脑电图与神经电生理学分会委员。主持国家自然科学基金青年科学基金等项目。第一作者发表SCI文章20篇。


WPS图片(1).jpeg

北京协和医院

倪俊 教授

  • 主任医师,教授,博士生导师,北京协和医院神经科副主任。

  • 现任中华医学会神经病学分会委员、中国卒中学会医疗质量与管理分会副主委、中国老年保健医学研究会脑卒中防治分会副主委、北京医学会神经病学分会常委、中国卒中学会脑小血管病分会常委、《中华神经科杂志》编委等。

  • 长期深耕医教研一线,擅长脑血管病及神经系统疑难病临床诊治;研究聚焦脑血管病临床、影像及病因机制,建立及长期管理几个脑血管病前瞻性临床队列并持续研究;近年以第一/通讯作者(含共同)在Science Bulletin、Ann Neurol、Stroke、Alzheimers &Dementia、Int J Stroke、Journal of Neurology等期刊发表SCI论文60余篇;主持国家级、省部级课题多项,国家发明专利3项。



END




更多精彩病例,请持续关注「协和神经科临床病例精粹」专栏

200 评论

查看更多