查看更多
密码过期或已经不安全,请修改密码
修改密码
壹生身份认证协议书
同意
拒绝
同意
拒绝
同意
不同意并跳过
基本资料
性别:男
年龄:55岁
现病史:患者2017-04自觉右上腹不适,进食后明显,渐加重,遂至我院检查上腹部CT示:肝内占位,考虑为肝细胞Ca,肝硬化,脾大,脾静脉、食管胃底静脉迂曲扩张。
既往病史:发现“乙型肝炎”1年,规律服用“恩替卡韦”,否认其他慢性病史。
辅助检查
实验室检查:
血常规:白细胞计数: (8.0) ×109 /L ;血红蛋白: (130)g/L ;血小板计数: (357.0) ×109 /L ;中性粒细胞绝对值(5.0)×109/L ;淋巴细胞绝对值:(2.0 )×109/L。
血生化和乙肝两对半:白蛋白: ( 36.0 ↓ ) g/l •谷草转氨酶:(74.0 ↑ )U/L •谷丙转氨酶:( 51.6 ↑ )U/L •总胆红素:( 27.4 ↑ )umol/L •直接胆红素:( 10.8 ↑ )umol/L •肌酐: ( 57.6 )umol/L •凝血酶原时间:(11)秒 •乙肝标志物: HBsAg(阳性);抗-HBs (阴性);HBeAg(阴性);抗-HBe(阳性);HBcAb (阳性) •HBV-DNA: (5*102 ) IU/ml
肿瘤指标:甲胎蛋白: ( 136.11 ↑ )ng/ml
小三阳
服药前影像学检查-腹部CT:
检查时间:(2017-4)
影像图谱:肝内占位,考虑为肝细胞Ca肝内转移可能



肝内占位,考虑为肝细胞Ca伴肝内转移可能,请结合临床相关化验检查。
肝硬化,脾大,脾静脉、食管胃底静脉迂曲扩张;
肝多发小囊肿;
胆囊炎;
左肺下叶条片状密度增高影,感染可能,请结合临床。
BCLC分期

首次介入治疗:
治疗时间:2017-5
影像图谱:肝右叶病灶染色明确,超选栓塞,碘油沉积致密



介入术后1月影像学检查-腹部MR:
检查时间:2017- 7
影像图谱:肝癌介入术后,S5段病灶仍有活性


肝癌介入术后,增强后未见明显异常强化灶
肝硬化,脾大,脾静脉、食管胃底静脉迂曲扩张。
脾内多发梗死灶。
肝周、脾周少许积液。
胆囊炎,胆囊周围积液。
肝脏小囊肿。左肾小囊肿。
2017-7-1 索拉非尼 0.4g Bid

服药1月影像学检查-腹部MR:
检查时间:2017 -8
影像图谱:肝右叶活性灶体积明显缩小



肝癌介入术后,增强后未见明显异常强化灶
肝硬化,脾大,脾静脉、食管胃底静脉迂曲扩张。
脾内多发梗死灶。
肝周、脾周少许积液。
胆囊炎,胆囊周围积液。
肝脏小囊肿。左肾小囊肿。
服药3月影像学检查:
检查时间:2017 - 10
影像图谱:肝右叶无明显活性灶



肝癌介入术后,未见明显活性灶,
肝硬化,脾大,脾静脉、食管胃底静脉迂曲扩张。
脾内多发梗死灶。
肝周、脾周积液,较前片稍减少。
胆囊炎,胆囊周围少量积液。
肝脏小囊肿。
左肾小囊肿。
左下肺斑片影,建议结合胸部CT。
服药6月影像学检查:
检查时间:2018-1
影像图谱:肝右叶未见明确活性灶



肝癌介入术后,未见明显活性灶,
肝硬化,脾大,脾静脉、食管胃底静脉迂曲扩张。
脾内多发梗死灶。
肝周、脾周积液,较前片稍减少。
胆囊炎,胆囊周围少量积液。
肝脏小囊肿。
左肾小囊肿。
左下肺斑片影,建议结合胸部CT。
服药9月影像学检查-腹部CT:
检查时间:2018 - 4
影像图谱:肝右叶病灶碘油沉积致密,无明显活性灶


肝脏及脾脏介入术后改变,肝内未见明显活性灶,脾梗死。结合临床及MR检查。
肝硬化,脾大,脾静脉、食管胃底静脉迂曲扩张。
肝多发小囊肿。
胆囊炎。
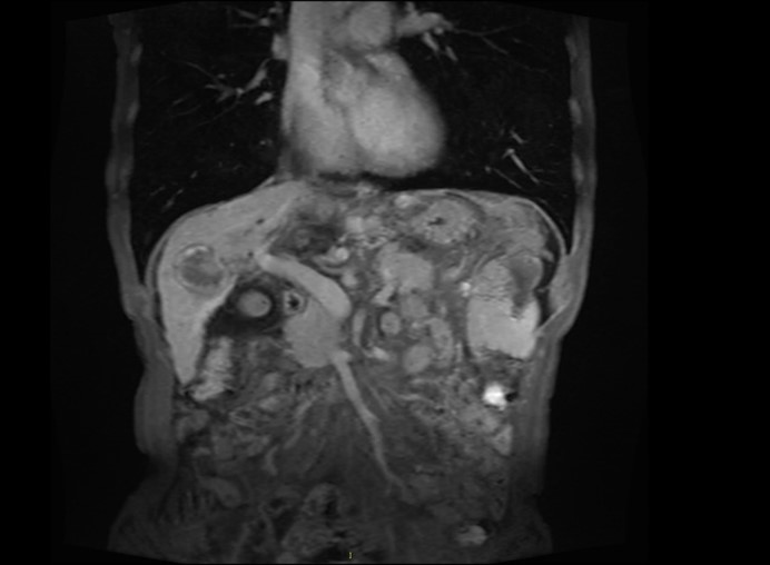
服药1年影像学检查-腹部MR:
检查时间:2018 - 7
影像图谱:肝右叶病灶较前相仿


药物治疗期间的AFP:
2017-5,AFP(ng/ml)为136.11 ↑;
2018 - 4,AFP(ng/ml)为16,。
查看更多