查看更多
密码过期或已经不安全,请修改密码
修改密码
壹生身份认证协议书
同意
拒绝
同意
拒绝
同意
不同意并跳过
基本资料
性别:男性
年龄:69
主诉:右侧腹部隐痛伴有大便不成形1月余”(2017-05)
现病史:2017-05肠镜:右半结肠癌?;病理:中低分化腺癌
ECOG 1分
NRS 0分
既往史/家族史:高血压病史约10年,硝苯地平控释片30mg qd控制血压,约120/80mmHg,否认糖尿病、心脏病病史,否认肝炎、结核病史。
辅助检查
2017年05月12日在全麻下行腹腔镜辅助下右半结肠根治术。
术后病理:右半结肠溃疡型中-低分化腺癌,肿瘤大小约5.0cm×4.0cm×1.0cm,侵及浆膜外脂肪组织,可见脉管癌栓,未见明确神经侵犯,另见绒毛状-管状腺瘤1枚伴腺体高级别上皮内瘤变,直径约1.0cm,两切缘未见癌累及。肠系膜见癌结节1枚,周围淋巴结1/11枚见癌转移。
基因检测:RAS、BRAF野生型,MSS
影像学检查:
2017.6.6胸腹部CT:腹膜后多发淋巴结转移,双侧肺部多发结节。



入院诊断:右半结肠癌术后伴腹膜后、肺转移(Ⅳ期, RAS、BRAF野生型,MSS )。
治疗方案:
一线治疗:
2017.06.13~2017.10.06:“贝伐珠单抗400mg+奥沙利铂200mg+卡培他滨1.5g bid d1-d14”×6
CT评效PR(RECIST 1.1)
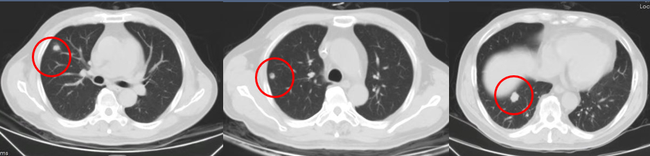
影像评估(PR)

2017.6.6

2017.10.25
维持治疗:
2017.10.30~2018.01.01:“贝伐珠单抗400mg+卡培他滨1.5g bid d1-d14”×4
2018.01.22CT评效PD
影像评估(PD)

2017.10.25

2018.1.22
二线治疗:
2018.1.23:“贝伐珠单抗0.4g +FOLFIRI(伊立替康 330mg d1+5-Fu 0.74g iv d1+5-Fu 2.2g civ 46h)
患者出现Ⅳ度骨髓抑制,口腔粘膜溃烂
2018.2.25~2018.5.21:“贝伐珠单抗0.4g +伊立替康330mg+雷替曲塞4mg“×4
CT评效PR
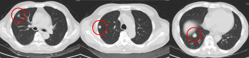
影像评估(PR):

2018.1.22

2018.6.11
2018.6.15~2018.10.19:“贝伐珠单抗0.4g+雷替曲塞4mg“×6
CT评效PD
影像评估(PD)

2018.6.11

2018.11.12
三线治疗:
2018.11.12~2019.1.17:“西妥昔单抗0.4g+FOLFOX4“×4
CT评效PD
影像评估(PD):
2018.11.12

2019.02.02
四线治疗:
2018.2.04~2019.4.07.:“西妥昔单抗0.4g+伊立替康300MG+雷替曲塞4mg“×4
CT评效SD 2018.4.30~2019.6.16:“西妥昔单抗0.4g+雷替曲塞4mg“×4
CT评效PD
影像评估(PD):

2019.02.02

2019.07.01

2019.02.02

2019.07.01
REGONIVO研究

目前入组50例患者(无既往瑞戈非尼治疗,允许既往肿瘤免疫治疗):
FPFV:2018年1月
LPFV:2018年10月
29例患者仍在治疗中(数据截止日期:ASCO GI 2019)
2个研究中心开放并在2个队列中进行招募:
胃癌患者
mCRC患者


瑞戈非尼联合纳武利尤单抗治疗晚期mCRC ORR 36%(MSS 33%) mPFS 6.3m
瑞戈非尼最佳剂量80mg-120mg
五线治疗:
2019.07.05、07.27、09.09、10.23、11.14:“瑞戈非尼80mg qd+opdivo 200mg”×5
2019.08.16和2019.10.21CT评效SD
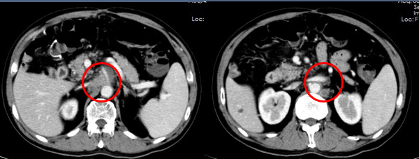
影像评估(2周期):

2019.06.29

2019.08.16

2019.06.29

2019.08.16
影像评估(4周期)

2019.08.16

2019.10.21

2019.08.16

2019.10.21
病例现状:
ECOG 0分
NRS 0分
截至今日:OS 30m
目前疗效SD,PFS 4.7m
无骨髓抑制、血压升高、恶心、呕吐、腹泻、皮疹、免疫相关性肺炎和心肌肌钙蛋白I增加等毒副反应
病例总结:
“瑞戈非尼+opdivo”治疗2周期后,一部分病灶缩小,另一部分病灶增大,系免疫治疗相关假性进展?
如进展,病例后续治疗选择?
查看更多