查看更多
密码过期或已经不安全,请修改密码
修改密码
壹生身份认证协议书
同意
拒绝
同意
拒绝
同意
不同意并跳过
基本资料
性别:男
年龄:78
主诉:“发现肝占位性病变7天”于2018年5月30日入院 n现病史:患者2018年5月无明显诱因出现发热,伴体重下降,当地医院检查:肝胆胰脾彩超示:肝脏占位,行腹部CT提示:肝脏左叶占位,直径约30mm. CA199:434.4u/ml.无腹痛腹胀,无腹胀腹泻、无呕心呕吐,无皮肤巩膜黄染。患者病程期间,精神食纳尚可,睡眠尚可,大小便正常。
既往史:2型糖尿病1年,胰岛素治疗;阑尾切除个人史。无肝炎病史,嗜烟酒史数十年。
查体:上腹部压痛(-)肝区叩击痛(-),腹部包块(-),余(-)。
辅助检查
实验室检查:
血常规:WBC: 4.6 10^9/L;RBC: 5.0 10^12/L;HGB: 148 g/L;PLT: 158 10^9/L
生化:ALT: 17.9 U/L;AST: 24.7 U/L;TBIL: 18.4 μmol/L;DBIL: 7.9 μmol/L
肿瘤标志物:AFP: 3.16 ng/mL;CEA: 2.47 ng/mL;CA199 : 103.30 ↑ U/mL
乙肝病毒:(-)
影像学检查:
2018-05-19上腹部CT检查
腹部CT扫描示:肝左叶见肿块影,大小约4*3cm,肝左叶占位,考虑肝ca可能。

2018-05-19胸部CT检查:未见明显异常。

初步诊断:肝脏恶性肿瘤
治疗方案:肝癌切除术+术后肝动脉化疗栓塞预防复发。2018年06月08日行肝癌切除术。
病理:(肝)低分化癌,局灶伴坏死,具体类型待免疫组化进一步明确,肿块大小3.6cm*2.8cm*2cm,癌组织紧邻但未侵犯肝被膜,周围肝组织示结节性肝硬化,伴中度脂肪变性;切缘未见癌残留。
免疫组化:(肝)肿瘤细胞CK-pan(++),CK7(++),CK20(灶+),Villin(灶+),CD10(-),CEA(-),AFP(-),Hep-1(灶+),CK19(++),P53(+),CDH17(+),SATB2(-),CK8/18(++),Ki-67(50%+),结合HE切片,本例为混合性肝细胞-胆管细胞癌。
术后复查:


术后予保肝、抗炎、输注白蛋白、静脉营养支持等对症支持治疗,患者术后恢复尚可,于2018-06-22出院。
2018-07-17复查:
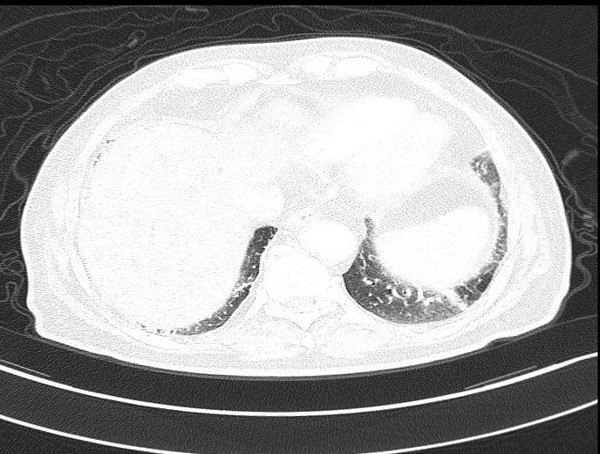
胸部CT扫描示:
左肺上叶实性结节,请结合病史,除外转移。纵隔多发稍大淋巴结。左肺上下叶及右肺中叶发小结节,随诊复查(6月)。

2018-07-17复查:
上腹部CT:
肝癌术后,肝硬化。左肾囊肿。前列腺增生钙化。

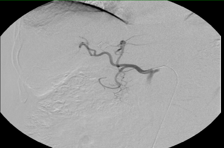
肝动脉化疗栓塞(2018-07-20)


造影显示:肝脏外科术后,灌注洛铂栓塞超液化碘油+洛铂的混合乳剂,未见明显碘油沉积、肿瘤染色灶。


影像学检查、TACE未提示肿瘤复发,患者出院后服用中药调理。
病情变化:
2018年9月无明显诱因出现乏力、嗜睡、发热,
复查CT(溧水区人民医院CT)提示:肺部多发结节,腹腔多发肿大淋巴结较前进展。CA125:1000+,CA199,AFP未见明显异常。
结合影像学及实验室检查结果,考虑肿瘤复发。
免疫治疗+化疗:
结合影像学及实验室检查结果,考虑肿瘤复发
根据患者2018年8月基因检查结果:TMB:192(7.96/MB),预计免疫治疗ORR:21.7%,MSI:0%,CNV:0.38%。
2018年9月14日南京81医院行第一次免疫治疗:
PD-1 纳武利尤单抗(o药) 200mg ivd 同时予中药调理治疗
免疫治疗后14天复查,效果显著
2018年9月28日行第二次免疫治疗+第一次化疗方案:
PD-1(o药) 200mg + XELOX方案
奥沙利铂 100mg ivd d1;卡培他滨 500mg 口服 bid 口服5天停用2天,连续三周休1周,q28d。


PETCT (2018年11月21日,北京协和)



PETCT示:肝脏未见放射性增高病灶。腹膜后多发小结节,未见放射性摄取增高。
诊断意见:全身显像未见明确复发及转移灶
免疫治疗并发症及处理:
患者2019年01月9日无明显诱因出现睡眠胃纳差10天入院治疗。
实验室检查:
电解质:Na:129 mmol/l。甲功:TSH:9.63uIU/ml , T3、T4 正常;
皮质醇(am 8:00):0.53ug/dl ,皮质醇明显低于正常,伴有明显乏力、电解质紊乱考虑免疫性垂体炎(3级)
治疗处理:停O药,口服甲强龙70mg ,2周后复查,皮质醇(am 8:00):1.03g/dl ,
症状明显缓解,改为口服氢化可的松,逐渐减量。
2019-02-25 垂体MR:形态饱满,信号欠均匀(外院)
2019年3月初复查,皮质醇(am 8:00): 5.78 ug/dl (正常),甲状腺功能正常,
促肾上腺皮质激素正常。出院后继续口服氢化可的松治疗,从起始量6片逐渐减量至0.5片,至5月初口服10mg qd。
2019年05月8日入院复查:
甲状腺功能:TSH 9.710mIU/L ,促肾上腺皮质激素:AM8: 4.5pg/ml
皮质醇:AM8 15.0nmol/l
肿瘤标志物未见异常。
影像学检查:
胸部平扫
左肺上叶实性结节,较前2018-07-17减小。纵隔多发稍大淋巴结,较前相仿。

影像学检查:腹部CT
肝硬化。肝多发囊肿。左肾囊肿。
肝门部及腹腔干旁散在稍大淋巴结,部分较前减小。
内分泌科会诊:
优甲乐:12.50ug po qd
氢化可的松:20mg po qd
2019年05月8日开始口服化疗:
替吉奥 50mg po bid d1-14 间断14天,规律服药一个疗程后未再次服用。

病情变化
2019年5月末当地医院复查: CA125:81.36U/ml,
PETCT(北京协和)
与2018-11-21老片相比:
1.腹膜后数个代谢增高淋巴结影,部分较前新见
2.肝脏未见明显代谢增高灶
3.鞍区代谢增高,结合病史,考虑垂体炎
4.左侧颈部、上纵隔多发代谢增高小淋巴结,
2019年6月20日八一医院
CA125 85.4 U/ml,余正常
肿瘤内科讨论:肿瘤复发可能
索拉非尼:400mg/日
2019年07月10日八一医院
CA125 89.6 U/ml,
索拉非尼:600mg/日
2019年08月09日八一医院
CA125 83.13 U/ml。
索拉非尼:600mg/日
2019年08月23日 外院会诊意见:
伦伐替尼无效,考虑ICC成分转移可能,建议联合PD1、局部放疗、口服卡陪他滨。

继续免疫治疗
2019年9月5日八一医院:
CA125:104.2 U/ml ,TSH:10.59 mIU/L,皮质醇:2.72ug/dl,
予纳武利尤单抗:低剂量 100mg +索拉非尼600mg/日,同时每日口服氢化可的松30mg
查看更多