查看更多
密码过期或已经不安全,请修改密码
修改密码
壹生身份认证协议书
同意
拒绝
同意
拒绝
同意
不同意并跳过
基本资料
性别:男性
年龄:67岁
主诉:因“结肠癌根治术后1月余”于2015-05-17首次就诊我科。
现病史:PS 0分。
既往史/家族史:高血压病史,家族史无特殊。
辅助检查
查体:乙状结肠造瘘术后改变,其余无特殊。
中山大学附属肿瘤医院会诊术后病理:(H155611)(乙状结肠)镜检为中分化管状腺癌,癌组织浸润至肠壁浆膜下层,见神经束侵犯,未见明确脉管内癌栓,双外科切缘未见癌,送检淋巴结共14枚,5/14见腺癌转移;另见一枚癌结节。(阑尾)粘膜组织慢性炎。
于2015-05-20至2015-09-26在我科行6周期XELOX方案辅助化疗,之后给予单药卡培他滨化疗二个周期。
辅助化疗后,每三个月复查均未见复发及转移征象。
PFS 14个月。
2016-12病情进展:
(2016-12-26) CEA 10.470 μg/L;
(2016-12-27) 全腹部增强CT见:左输尿管中段(约骶1椎体水平)下方见一结节(18*16mm),转移待排,伴其以上左输尿管轻度扩张积液。
2016-12-27 全腹CT:



之后患者要求出院,行中医中药治疗。
2017-03再次返院复查。
(2017-03-28) CEA 3.08 ng/m;
(2017-03-27) 腹部CT见:左输尿管中段(约骶1椎体水平)下方一结节状软组织影,边界欠清,大小约18×16mm,增强扫描呈中度强化,伴其以上左输尿管轻度扩张积液。考虑转移。
2017-03-27 全腹CT:



于2017-03-30复查盆腔MR示:左侧输尿管中段前方可见一不规则软组织影,大小约35mm x 20mm。
2017-04,行石腊切片及液体活检全KRAS基因检测野生型,KRAS野生型、BRAF野生型。
2017-03-30 盆腔MR:



2017年5月患者门诊查CEA 11.33↑ng/ml ;CA19-9 51.74 ↑U/ml ;较前有缓慢增高。
于2017-05-10至2018-01-17在我科行FOLFIRI方案姑息化疗12周期。(因患者依从性差,自第三周期起,调整为FOLFIRI三周化疗)
化疗期间,监测CA199扔持续增高,于第9周期(2017-11-14)始加用贝伐单抗400mg。
(在2017-10-01贝伐单抗纳入深圳医保,经与患者沟通后考虑其自身经济情况,故选择该药)
2017-06-27复查(第二周期姑息化疗后)
(2017-06-27) CEA 19.600 μg/L;CA19-9 46.67 ↑ U/ml
(2017-06-27)盆腔MR:左侧输尿管中段前方可见一不规则软组织影,大小约29mm x 22mm,较前有所缩小。
2017-06-27 盆腔MR:

2017-10-18复查(第七周期姑息化疗后)
(2017-10-16) CEA 11.390 μg/L;CA19-9 74.07 ↑ U/ml
(2017-10-18)胸腹部CT见:左输尿管中段(约骶1椎体水平)前方见一结节状软组织影,边界欠清,大小约18×16mm。
2017-10-18 全腹CT:



(20180117) 12周期姑息化疗后复查:
CEA 8.58 ↑ μg/L, CA 19-9 69.39 ↑ U/ml
于2018-03-27始改行贝伐单抗+替吉奥维持化疗9周期。2018年期间患者未复查影像学检查,仅定期监测CEA、C199。

2019-01再次返院复查:
(2019-01-15) CEA 233.400 μg/L;CA19-9 93.73 U/ml
(2019-01-15)全腹+胸部增强CT:左输尿管中段管腔内及其前下方软组织肿块并强化,病灶范围较前稍增大,考虑转移(较大截面约23×22mm);伴其以上左输尿管、左肾盂、肾盏扩张积液较前稍明显。

2019-01-15 腹部CT:

2019-01-15 腹部CT:



2017-04,石腊切片及液体活检全KRAS基因检测野生型,KRAS野生型、BRAF野生型。
考虑到该患者既往未接受过西妥昔单抗治疗,同时在2018年12月,该药纳入深圳医保,当时建议患者使用爱必妥。但患者表示不愿继续接受静脉药物治疗。故予选择口服药物治疗。
于2019-01-16开始行瑞戈非尼联合替吉奥治疗至今。
(瑞戈非尼 120mg po qd,替吉奥 40mg po bid d1-14)。
治疗期间动态监测CEA、CA199。

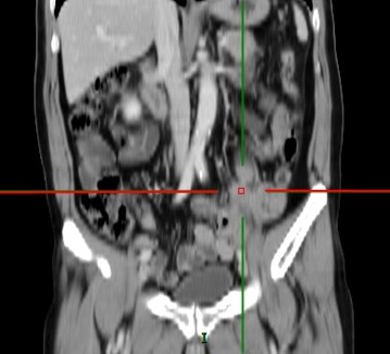
2019-07-31返院复查
(2019-08-01)全腹+胸部增强CT:左输尿管中段管腔内及其前下方软组织肿块并强化,伴其以上左输尿管、左肾盂、肾盏扩张积液,同前相仿,考虑转移(较大截面约23×22mm)。

2019-08-01 腹部CT:

2019-08-01 腹部CT:





2019-08-01 胸部CT:









治疗小结:
2015-05-20至2015-09-26行6周期XELOX方案辅助化疗。
2016-12发现进展,行中医中药治疗。
2017年5月发现CEA 、CA19-9 有缓慢增高。于2017-05-10至2018-01-17行FOLFIRI方案姑息化疗12周期。于2017-11-14开始加用贝伐单抗。
2018-03-27至2018-11-13行贝伐单抗+替吉奥维持化疗9周期。
2019-01再复查发现病灶增大,CEA、CA199明显增高。
于2019-01-16开始行瑞戈非尼联合替吉奥治疗至今。

病例总结:
1.三线治疗在mCRC患者治疗中非常重要,新型药物可延长患者生存期,延长生存时间是治疗目标,缩瘤并不是主要目的,使用瑞戈非尼能长期稳定肿瘤(从1月份CT检查到8月份,病灶并没有进展,处于长期稳定状态),患者总生存得到延长。
2.持续抗血管治疗在转移性结直肠癌中的重要性。在前线治疗使用贝伐治疗进展后,三线治疗继续使用瑞戈非尼,阻断多条血管生成通路,持续抗肿瘤血管生成,使得患者肿瘤得到控制,生存时间延长。
3.对于后线治疗患者来说,生活质量也是重要的考量,使用口服靶向药物,减少患者住院及静脉化疗,提高患者治疗的满意度。
查看更多