查看更多
密码过期或已经不安全,请修改密码
修改密码
壹生身份认证协议书
同意
拒绝
同意
拒绝
同意
不同意并跳过
基本资料
性别:男
年龄:62岁
身高:168cm
体重:85kg
主诉:乙状结肠癌术后5年余,间断性胸闷1年。
现病史:
2014.04.28我院行“乙状结肠癌根治术”。
术后病理:
1.乙状结肠腺癌,II级,部分粘液腺癌,溃疡型,癌组织浸润至浆膜层,
2.送检吻合口两圈均未见癌累及,
3.肠系膜淋巴结(+)4/8枚,
4.EGFR(+),COX-2(+),P53(+),Ki-67(+)70%。
基因检测: K-ras 突变。
术后病理分期:pT3N2M0,临床分期:III期。
辅助化疗:XELOX×6;无明显化疗相关毒副反应。
既往史/家族史:否认其他手术史,否认高血压病、糖尿病、心脏病病史,否认肝炎、结核病等传染病史。
辅助检查
影像学检查:
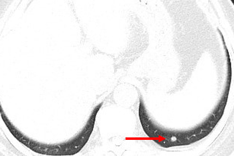
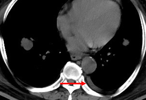
2015.09.25 CT: 双肺多发转移





治疗方案:
一线治疗:
“贝伐珠单抗+雷替曲塞”×11周期
一线治疗后影像评估(PD)
2015.09.25:



2016.07.26:



2015.09.25:


2016.07.26:


二线治疗:
2016.07~2017.01:“贝伐珠单抗+FOLFIRI”×8;
2017.02~2018.12:”贝伐珠单抗+卡培他滨”×18。
二线治疗期间影像评估(SD)
2016.07.26:



2017.07.10:



2016.07.26:


2017.07.10:


二线治疗后:2019.02出现胸闷、呼吸困难。
二线治疗后影像评估(PD)
2017.07.10:



2019.02.14:



2017.07.10:


2019.02.14:




三线治疗方案:
国际指南及中国规范一致推荐:拜万戈®是转移性结直肠癌三线治疗标准方案

RCT研究显示:拜万戈®死亡风险下降多达45%。
生存获益程度可以用风险比(Hazard ratio,HR)的降低幅度来衡量。


大型真实世界研究验证拜万戈®耐受性良好。
日本PMS真实世界研究:不良事件一般在治疗早期发生,且发生率随时间呈下降趋势。

三线治疗:
2019.04.16 瑞戈非尼 120mg d1-d21 q28天,
第一周期治疗,血压180/100mmHg,络活喜降压治疗恢复正常,
第一周期治疗,血小板58×10~9/L,TPO治疗后恢复正常,
1级手足皮肤反应。
三线治疗期间影像评估(SD)
2019.02.14:



2019.06.04:



2019.02.14:




2019.06.04:




三线治疗后影像评估(PD)
2020年1月胸闷、呼吸困难加重,
2020.01.16胸腔积液。

四线治疗:
2020.01.16 呋喹替尼 5mg d1-d21 q28天;
胸腔穿刺+引流术;
血压180/100mmHg,可乐定+络活喜降压治疗恢复正常。
四线治疗后影像评估:
胸闷、呼吸困难缓解,
2020.04.15胸腔积液减少。


病例现状:
ECOG 1分;
NRS 0分;
OS 72月,三线PFS 9m;
无咳嗽、咳痰、胸闷和呼吸困难;
骨髓抑制恢复;
1级手足皮肤反应;
无疲乏、纳差、腹泻、出血、蛋白尿、肝功能异常、发热等。
病例总结:
1.瑞戈非尼应用于晚期结直肠癌三线治疗,具有很好得有效性和安全性,其不良反应可控监测,随着2.时间推移,其不良反应呈可耐受性。
3.小分子靶向治疗给晚期结直肠癌三线治疗患者带来的是有质量的生存获益。
4.小分子靶向治疗有望使更多晚期结直肠癌患者从中获益。
查看更多