壹生大学

壹生身份认证协议书

本项目是由壹生提供的专业性学术分享,仅面向医疗卫生专业人士。我们将收集您是否是医疗卫生专业人士的信息,仅用于资格认证,不会用于其他用途。壹生作为平台及平台数据的运营者和负责方,负责平台和本专区及用户相关信息搜集和使用的合规和保护。
本协议书仅为了向您说明个人相关信息处理目的,向您单独征求的同意,您已签署的壹生平台《壹生用户服务协议》和《壹生隐私政策》,详见链接:
壹生用户服务协议:
https://apps.medtrib.cn/html/serviceAgreement.html
壹生隐私政策:
https://apps.medtrib.cn/html/p.html
如果您是医疗卫生专业人士,且点击了“同意”,表明您作为壹生的注册用户已授权壹生平台收集您是否是医疗卫生专业人士的信息,可以使用本项服务。
如果您不是医疗卫生专业人士或不同意本说明,请勿点击“同意”,因为本项服务仅面向医疗卫生人士,以及专业性、合规性要求等因素,您将无法使用本项服务。

同意

拒绝

同意

拒绝

知情同意书

同意

不同意并跳过

工作人员正在审核中,
请您耐心等待
审核未通过
重新提交
完善信息
{{ item.question }}
确定
收集问题
{{ item.question }}
确定
您已通过HCP身份认证和信息审核
(
5
s)

卒中复发的“真假迷局”:1例大面积脑梗死后少见的影像学表现 | 协和神经科临床病例精粹

2026-03-24作者:论坛报寒夜资讯
原创

作者:北京协和医院 耿畅 倪俊 


PART 01
病例摘要




患者男性,39岁,主因“左侧偏盲、间断头痛1年余”于2024年11月入院。



入院情况



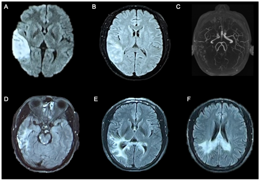
患者于2023年6月长途开车后出现右侧头部胀痛,查体存在双眼左侧同向性偏盲,头颅MRI示右侧颞顶枕叶大面积脑梗死灶,头颅MRA示右侧大脑中动脉(MCA)M1段重度狭窄(图1A、图1B、图1C);诊断脑梗死,建议双抗联合强化降脂治疗。2024年3月患者轻度头痛,复查头颅MRI示右侧颞叶持续团片状DWI高信号、ADC低信号,右侧颞顶枕叶、胼胝体压部长T1长T2信号病灶;当地诊断脑梗死复发,建议患者再次双抗序贯阿司匹林抗板治疗。2024年8月患者复查头颅增强MRI示右侧颞叶弥散受限病灶基本同前,双侧颞顶枕叶皮层下白质及胼胝体、右侧中脑及脑桥长T1长T2信号,DWI稍高、ADC不低,无强化(图1D、图1E、图1F)。2024年11月为进一步治疗收入病房。



图1 2023年6月头颅MRI结果(A~C);2024年8月头颅增强MRI结果(D~F)



既往史、个人史



高脂血症、高同型半胱氨酸血症。否认高血压、糖尿病、冠心病、房颤病史;否认系统性免疫疾病病史。不吸烟,偶尔社交性饮酒。



查体



神清语利,高级智能正常。颅神经:双眼视力正常,双眼左侧偏盲,双侧瞳孔对光反射灵敏,眼动充分,无复视眼震,余颅神经(-)。

运动:四肢肌力5级,双上肢腱反射对称引出,双下肢腱反射活跃,双侧Hoffmann征(-),双侧Babinski征、Chaddock征(+),共济、步态正常,深浅感觉对称,脑膜刺激征(-)。



辅助检查



1. 血液检验

免疫球蛋白+补体正常,抗核抗体(ANA)谱17项、抗中性粒细胞胞质抗体(ANCA)4项、抗磷脂综合征(APS)6项、狼疮抗凝物正常;血乳酸运动试验正常。



2. 腰穿

压力75 mmH2O,白细胞3×106/L,蛋白0.52 g/L,乳酸1.7 mmol/L,糖、氯化物正常。

细胞学: 20个/0.5 ml,未见明显异常。

IL-6、IL-8、IL-10、特异性寡克隆区带(SOB)、病原学(含mNGS-DNA)阴性。


3. 影像学

(1)头颈CTA:多发动脉粥样硬化斑块。

(2)脑血管管壁增强MRI:右侧MCA M1重度狭窄,管壁不均匀增厚符合动脉粥样硬化。

(3)多模态MRI  

     ▶ASL灌注成像:病灶均低灌注。

     ▶MRS成像:病灶胆碱峰、乳酸峰升高,肌酸峰及N-乙酰天门冬氨酸峰下降。

     ▶DTI序列成像:胼胝体纤维稀疏,未见白质破坏性病变。

(4)头颅FDG/PET-CT:未见病变高代谢。


4. 基因

全外显子测序阴性。



病灶分析



入院后仔细分析患者病灶的两大疑点

1. 右侧颞叶持续弥散受限病灶

该病灶完全位于旧梗死灶内部,多次复查基本稳定(图2),未引起新的症状体征,考虑并非新发脑梗死灶。同时对比其他序列,该病灶也并非出血或T2穿透效应,考虑该“顽固的”弥散受限病灶可能与病灶内持续低灌注或局部坏死物质聚集有关。查阅文献,2023年德国研究者曾报道类似现象,在接受血管取栓治疗的急性脑梗死患者3~12个月随访过程中,37.2%患者可能存在原梗死灶内部持续弥散受限病灶,可能与原梗死体积较大相关。



图2 患者多次复查弥散受限病灶基本稳定



2.  扩大的白质病变

本患者随访过程中可见逐步延伸至同侧及对侧皮层下白质、胼胝体及同侧脑干的异常白质病变。对于新发白质病变性质,入院后就病灶性质与前次脑梗究竟为“一元论”或“二元论”展开了详细的分析讨论。患者先后完善代谢、免疫、基因筛查均未见明显异常,未见中枢神经系统血管炎、线粒体脑病、遗传性脑白质营养不良等疾病证据。但颅内肿瘤,特别是淋巴瘤或脑胶质瘤病等仍不能完全除外。


此后患者接受了多模态MRI检查:MRS序列示胆碱峰升高伴N-乙酰天门冬氨酸峰降低(图3A);ALS灌注成像示病灶区域低灌注(图3B);DTI序列示胼胝体压部纤维束减少、退变(图3C)。以上改变均高度提示病灶为纤维退变可能性大,不具备明显代谢活性或占位效应。因此结合患者首次脑梗死病史,综合考虑诊断脑梗死后华勒氏变性可能性大。



后续治疗与随访



医疗团队充分与患者及家属沟通脑活检利弊,患者及家属选择暂不活检,门诊密切随访病灶变化。遂予以患者规范脑血管病二级预防治疗,嘱患者出院后定期门诊随诊。患者出院后未出现新发神经系统缺损症状,2025年8月复查头颅MRI提示病灶稳定、未进一步扩大(图3D、图3E、图3F),进一步支持脑梗死后华勒氏变性诊断。



图3 患者多模态MRI成像及随访MRI结果



PART 02
文献复习




华勒氏变性是指神经元或近端轴突损伤后远端轴突发生的进行性脱髓鞘过程。典型华勒氏变性的病理阶段包括四个阶段:4周内轴突肿胀,髓鞘仅有轻微生化改变;4~14周髓鞘脱失;慢性期出现纤维变性、胶质增生,最终导致萎缩。胼胝体是连接两侧大脑半球的最大白质纤维束,尤其参与颞枕顶叶间的纤维连接。胼胝体压部病变的潜在病因包括创伤、肿瘤、脱髓鞘疾病和炎性疾病等。脑梗死后继发华勒氏变性累及胼胝体压部的情况相对罕见,查阅文献,Gandhi等人报道了一例左侧枕叶梗死后出现进行性胼胝体压部华勒氏变性的病例,结合DTI和MRS结果确诊为脑梗死后华勒氏变性。


目前影像学技术的进步提高了对于观测卒中后神经轴索结构变化的能力,如DTI序列可显示白质纤维的变性情况,同时可定量检测梗死灶附近纤维各向异性分数。在本病例中,观察到胼胝体压部存在稀疏纤维而无浸润性病变,这进一步证实了华勒氏变性的诊断。此外,针对较为复杂的病例,长期随访患者临床表现与影像学变化,是帮助鉴别病因的另一重要助力。



专家简介




图片1.png

北京协和医院

耿畅

  • 医学博士,2022年毕业于北京协和医学院临床医学(八年制)专业,北京协和医院神经科临床博士后出站,曾获北京市优秀毕业生、北京协和医院院级优秀住院医师及优秀临床博士后荣誉。掌握神经内科常见疾病的诊治。


WPS图片(1).jpeg

北京协和医院

倪俊 教授

  • 主任医师,教授,博士生导师,北京协和医院神经科副主任。

  • 现任中华医学会神经病学分会委员、中国卒中学会医疗质量与管理分会副主委、中国老年保健医学研究会脑卒中防治分会副主委、北京医学会神经病学分会常委、中国卒中学会脑小血管病分会常委、《中华神经科杂志》编委等。

  • 长期深耕医教研一线,擅长脑血管病及神经系统疑难病临床诊治;研究聚焦脑血管病临床、影像及病因机制,建立及长期管理几个脑血管病前瞻性临床队列并持续研究;近年以第一/通讯作者(含共同)在Science Bulletin、Ann Neurol、Stroke、Alzheimers &Dementia、Int J Stroke、Journal of Neurology等期刊发表SCI论文60余篇;主持国家级、省部级课题多项,国家发明专利3项。




END




更多精彩病例,请持续关注「协和神经科临床病例精粹」专栏

200 评论

查看更多