壹生大学

壹生身份认证协议书

本项目是由壹生提供的专业性学术分享,仅面向医疗卫生专业人士。我们将收集您是否是医疗卫生专业人士的信息,仅用于资格认证,不会用于其他用途。壹生作为平台及平台数据的运营者和负责方,负责平台和本专区及用户相关信息搜集和使用的合规和保护。
本协议书仅为了向您说明个人相关信息处理目的,向您单独征求的同意,您已签署的壹生平台《壹生用户服务协议》和《壹生隐私政策》,详见链接:
壹生用户服务协议:
https://apps.medtrib.cn/html/serviceAgreement.html
壹生隐私政策:
https://apps.medtrib.cn/html/p.html
如果您是医疗卫生专业人士,且点击了“同意”,表明您作为壹生的注册用户已授权壹生平台收集您是否是医疗卫生专业人士的信息,可以使用本项服务。
如果您不是医疗卫生专业人士或不同意本说明,请勿点击“同意”,因为本项服务仅面向医疗卫生人士,以及专业性、合规性要求等因素,您将无法使用本项服务。

同意

拒绝

同意

拒绝

知情同意书

同意

不同意并跳过

工作人员正在审核中,
请您耐心等待
审核未通过
重新提交
完善信息
{{ item.question }}
确定
收集问题
{{ item.question }}
确定
您已通过HCP身份认证和信息审核
(
5
s)

93 岁老伯 MBL-CRE感染致反复发热,新型酶抑制剂用药 7 天感染指标转阴!

2025-10-28作者:CMT-壹生资讯



病例基本信息


患者,男,93 岁,因「进行性认知功能减退伴发作性谵妄 1 年余,发热 1 周」入院。


现病史:患者于 1 年余前无明确诱发因素下逐渐出现进行性加重的认知功能障碍。病程初期以近事记忆障碍为突出表现,表现为物品置放后即刻遗忘;重复性提问同一问题;对当日经历事件回忆困难等。病情渐进性发展,时空定向力逐步受损;复杂事务处理能力显著下降;语言功能呈阶梯式衰退。日常生活活动能力进行性下降至部分依赖状态。近 4 月,患者病情出现进展,反复出现阵发性谵妄发作,发作期呈现鲜明视幻觉,有激越性行为异常、昼夜节律紊乱,每次发作持续数小时可自行缓解,但认知功能基线水平呈阶梯式下降。一周前患者因鼻饲不当导致呕吐 2 次,后出现呛咳误吸。随后患者出现发热伴血象明显升高,最高体温 38.1 ℃,无畏寒、寒战,无恶心呕吐,无腹胀腹泻,无尿频尿急尿痛。结合床旁胸片,考虑「吸入性肺炎」。痰培养提示「铜绿假单胞菌」,根据药敏先后予以头孢哌酮舒巴坦、亚胺培南抗感染治疗效果不佳。


既往史:患者有「肛管癌」病史超过 20 年,曾多次接受放疗治疗,现遗留有大便失禁、大便潜血阳性及慢性贫血等症状。约 1 年前,患者因重度贫血合并急性非 ST 段抬高性心肌梗死、急性肝衰竭及高渗性昏迷入我科就诊,经过积极治疗后,患者的肝功能及心功能已有所恢复,目前持续接受冠心病二级预防治疗。患者长期卧床超过 1 年,依据 Fried 衰弱表型评分 4 分,诊断为「衰弱状态」。


个人史否认疫情、疫水接触史,否认牧区、矿山、低碘区居住史。无化学性物质、放射性物质、有毒物质接触史。无吸毒史、吸烟史、饮酒史。


家族史:否认家族性遗传性病史,否认家族性肿瘤史。


体格检查:T 38.1 ℃,神清,精神差。双肺呼吸音粗,可闻及湿啰音。心率 79 次/分,律齐,未闻及杂音。腹软,无压痛、反跳痛。双下肢无水肿。


实验室检查及辅助检查



1、深部痰病原微生物靶向高通量测序(tNGS):


细菌:铜绿假单胞菌(reads 1446263);流感嗜血杆菌(reads 479);肺炎克雷伯菌(reads 211)。

耐药基因列表:blaCTX-M(肺炎克雷伯菌,耐药类型:青霉素、三代头孢),blaNDM 金属酶(肺炎克雷伯菌,耐药类型:碳青霉烯类)


图一:患者 tNGS 结果(入院时 2025-8-27)



2、白细胞计数与常规 CRP:


图二: 患者治疗期间白细胞计数及常规 CRP 变化情况



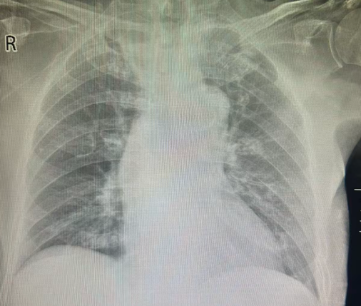
3、床旁胸片:


床旁仰卧位胸片,两肺纹理模糊,右中肺见结节状影,直径约 3 mm。肺门影增浓,卧位心影饱满,膈面光滑,双侧肋膈角未见明显异常。


图三:患者胸片(2025-8-22)


临床诊断与治疗方案


结合患者病史、临床症状及相关辅助检查,患者感染明确,病原体为铜绿假单胞菌、流感嗜血杆菌、肺炎克雷伯菌



治疗过程及转归:


8 月 29 日:患者入院前使用头孢哌酮舒巴坦、亚胺培南效果不佳。根据 tNGS 结果与感染科会诊建议予以氨曲南阿维巴坦抗感染治疗。

8 月 30 日:使用氨曲南阿维巴坦 1 天后患者体温降至正常,痰逐渐减少。


图四:患者治疗期间体温变化


9 月 4 日:使用氨曲南阿维巴坦 7 天,患者血象及 CRP 逐渐下降至正常,停用氨曲南阿维巴坦。复查深部痰 tNGS:铜绿假单胞菌(reads 1055023);流感嗜血杆菌(reads 15023);肺炎克雷伯菌及相关耐药基因消失。


图五:患者 tNGS 结果(2025-9-4)


病例思考与启示



一、患者为 93 岁高龄男性,长期卧床、吞咽功能退化,鼻饲过程中发生误吸是本次吸入性肺炎的主要诱因。


二、患者初始抗感染治疗(头孢哌酮舒巴坦、亚胺培南)效果不佳,可能与以下因素相关:



病原体复杂性:患者吸入性肺炎多为混合感染,tNGS 提示以铜绿假单胞菌为主(reads 数显著高于其他菌种),合并流感嗜血杆菌及产 NDM 酶的肺炎克雷伯菌,多重耐药问题突出。


耐药基因影响:肺炎克雷伯菌携带 blaCTX-M(ESBL)和 blaNDM(金属酶),导致头孢类、碳青霉烯类药物失效。铜绿假单胞菌可能存在天然膜通透性低或产 AmpC 酶等机制,进一步加重治疗难度。


患者因素:高龄、长期卧床导致免疫力低下,药物代谢及组织穿透能力受限,影响疗效。


三、入院前治疗根据患者痰培养药敏选择头孢哌酮舒巴坦及亚胺培南效果不佳可能原因:



患者深部痰 tNGS,肺炎克雷伯菌虽 reads 偏低,但携带 blaNDM 导致碳青霉烯类耐药,且合并 blaCTX-M 提示对三代头孢耐药。


传统培养可能因抗菌药物预处理、部分菌生长要求高等因素漏检。


四、氨曲南/阿维巴坦选用基于以下考虑:



作用机制:氨曲南为单环 β-内酰胺类,对 β-内酰胺金属酶(MBL)稳定,可覆盖产 NDM 的肺炎克雷伯菌;同时对铜绿假单胞菌具有天然活性。阿维巴坦是新型 β-内酰胺酶抑制剂,可抑制 ESBL、KPC 及部分 AmpC 酶,与氨曲南联用可保护其不被 ESBL 水解[1]


覆盖优势菌及耐药菌:氨曲南/阿维巴坦对产 NDM 的肺炎克雷伯菌有效[2],且穿透生物被膜的能力强。


安全性:氨曲南与青霉素/头孢无交叉过敏,适用于老年及肾功能不全患者;阿维巴坦肾毒性低,需根据肌酐清除率调整剂量。


专家简介



刘文婷


• 中国科学技术大学附属第一医院(安徽省立医院)老年医学科主治医师,医学硕士,在读博士。

• 从事老年医学相关疾病研究已有十余年,专注于老年人群的健康管理、老年综合评估及老年综合征的诊疗,擅长老年人常见病、多发病及危重症的诊治。对老年人肺部感染、呼吸衰竭、慢性阻塞性肺疾糖尿病、老年骨质疏松、高血压病、冠心病等有丰富的临床经验。

• 社会任职:安徽省全科医学会慢病防治分会  委员,学会秘书;安徽省健康服务业协会高血压与老年分会  委员,学会秘书。

(上下滑动查看更多)


✩ 仅供医疗卫生专业人士参考/阅读


本文转自丁香园感染时间


参考文献:

[1] 注射用氨曲南阿维巴坦钠说明书.

[2] 《β-内酰胺类抗生素/β-内酰胺酶抑制剂复方制剂临床应用专家共识》编写专家组. β-内酰胺类抗生素/β-内酰胺酶抑制剂复方制剂临床应用专家共识(2020年版) [J] . 中华医学杂志, 2020, 100(10) : 738-747.


200 评论

查看更多