查看更多
密码过期或已经不安全,请修改密码
修改密码
壹生身份认证协议书
同意
拒绝
同意
拒绝
同意
不同意并跳过
基本资料
性别:男
年龄:59岁
现病史:2015年12月因“便血两个月,腹胀伴排便、排气困难一周”就诊。
既往史:高血压10年,口服氨氯地平1片每日一次,血压控制理想。糖尿病3个月,口服二甲双胍1片每日两次,血糖控制理想。
家族史:无恶性肿瘤家族史。
辅助检查
查体:ECOG 1分,血压120/80mmHg。
实验室检查:
肠镜检查(2015.12.14丹东市中心医院):
距肛缘6-10cm处(直肠)见隆起与溃疡交替,表面糜烂和污秽苔,质地韧,弹性差,蠕动差,约占肠腔全径,易出血,肠腔狭窄,镜身无法通过。
肠镜病理:直肠腺癌。
肿瘤标志物:
CEA:163.5ng/ml(0-4.7);
CA199:11.35U/ml(0-39);
CA724:10.54U/ml(0-9.8)。
影像学检查:
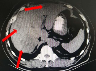
腹部CT(2015.12.14)


肝右叶可见不规则形略低密度影,大小约7.9*6.1cm,其内密度不均匀,局部外突,边缘模糊,肝内可见多个类圆形略低密度灶。直肠壁不规则增厚,局部肠腔变窄,盆腔内未见明确肿大淋巴结。
盆腔CT(2015.12.16)


直肠壁不规则增厚,局部肠腔变窄,盆腔内未见明确肿大淋巴结。
临床诊断:
1、直肠癌ⅣA期(cTxNxM1a)
2、肝多发转移癌
3、不完全性肠梗阻
4、原发性高血压
5、糖尿病
治疗前评估:
59岁男患,ECOG 1分。
症状:腹胀、便血、排便排气困难。
诊断:直肠癌(cTxNxM1a, ⅣA期,肝多发转移,不完全性肠梗阻)。
肿瘤标志物: CEA:163.5ng/ml(0-4.7)。
评估结果:
可切除性:初始不可切除转移性直肠癌
分层:原发灶存在梗阻
目标:疾病控制/转化
方案:双药化疗
初始不可切除患者的治疗:原发灶的处理

姑息治疗: 一线方案

临床治疗:
2015.12.21行横结肠双腔造瘘术。
2016.01.12行XELOX(奥沙利铂200mgd1+希罗达早1500mg,晚2000mgd1-d14)化疗4个周期。
肝脏强化磁共振(2016.3.18)



肝脏强化磁共振示(2016.3.18):肝内散在可见结节状及团片状略长T1略长T2信号,信号不均匀,动态增强扫描病灶周边呈浅淡不均匀强化。提示:肝多发转移瘤。
治疗前:


治疗后:


治疗后评估:
疗效:PR,肝脏病灶缩小,肿瘤标志物下降。
不良反应:Ⅱ度神经毒性,Ⅰ度消化道反应,Ⅰ度骨髓抑制。
仍不适合手术治疗(原发灶、转移灶)。
2016年3月29日行肝动脉经导管灌注化疗栓塞术。
2016年4月13日、5月5日继续行XELOX(奥沙利铂200mgd1+ 希罗达早1500mg,晚2000mgd1-d14)化疗两个周期。
介入治疗后:


姑息治疗:


病情变化:
2016年6月患者出现肛门区疼痛,肿瘤标志物略增高,盆腔磁共振与前对比直肠病灶较前增大,骶椎转移瘤。

2016年6月6日行局部放疗。放疗后疼痛缓解。
姑息治疗二线方案:

二线治疗:
2016年6月22日(伊立替康0.3d1+替吉奥60Mg bid d1-d14)化疗6个周期。同时骨膦类药物治疗。


评估:SD,肝脏病灶缩小,肿瘤标志下降。
病情变化:


2016年12月27日复查CT:肝脏病灶增大,病情进展。
姑息治疗三线方案:

三线治疗:
2016年12月28日(雷替曲塞4mgd1)六个周期。
2017年6月肝脏病灶再次增大,于6月13日、7月20日再次给予介入肝动脉经导管灌注化疗栓塞术。
2017年8月2日行(希罗达早1500mg,晚1500mgd1-d14+阿帕替尼425mgqd)五个周期。
2017年11月8日肝脏病灶再次增大:更换(伊立替康0.3d1+替吉奥60Mg bid d1-d14+阿帕替尼425mg qd)化疗三个周期。
2018年1月10日(伊立替康0.3d1+阿帕替尼425mg qd)治疗五个周期,后单药阿帕替尼425mg维持治疗。
2018年7月复查肝脏病灶再次增大,给予(瑞戈非尼口服160mgqd口服21天停7天。)
2019年8月于家中死亡。
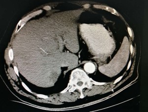
2018年5月7日复查肝脏CT

治疗经过及总结:
59岁男患,初诊分期直肠癌肝转移、不完全性肠梗阻,行横结肠双腔造瘘术。

查看更多