查看更多
密码过期或已经不安全,请修改密码
修改密码
壹生身份认证协议书
同意
拒绝
同意
拒绝
同意
不同意并跳过
本期分享一例由颈动脉-海绵窦瘘引起双侧外展神经麻痹的病例。本文回顾了双眼复视的诊疗思路,同时描述了颈动脉-海绵窦瘘的常见病变,对其病因、发病机制、临床表现、分型、治疗进行了系统回顾。本病例编译摘自《卒中》(Stroke)杂志Illustrative Teaching Cases栏目。

患者为68岁女性,主因“双眼视物成双,头痛2天”急诊就诊。患者既往有高血压、高血脂、阵发性心房颤动史,因消化道出血未行抗凝治疗。视物成双表现为视物时双影左右排列,视远物时加重,同时伴有持续性双额部头痛,咳嗽时加重。否认近期发热、外伤、眶后疼痛、视力模糊或其他相关的局灶性神经症状。
急诊查体示患者双眼外展轻度受限,余神经科查体及眼科查体未见明显异常。弓上CTA提示左侧椎动脉V1-V2段闭塞。头MRI未见急性梗死灶,弓上MRA提示左椎动脉慢性闭塞,未见急性动脉夹层征象。患者症状部分缓解后,继续眼科和神经科随访。
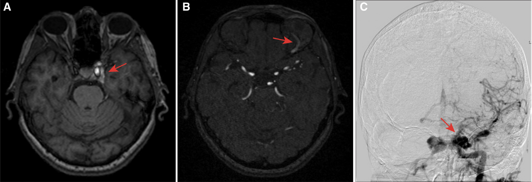
10天后,患者因头痛复发、复视加重及左眼肿胀再次来院就诊。再次查体发现患者左眼周围红肿,双眼外展受限,左侧较右侧严重,提示双侧外展神经受损。遮盖-不遮盖试验提示双侧内斜视。头部MRA和MRV显示左侧海绵窦不对称强化,左侧眼上静脉扩张,提示颈动脉-海绵窦瘘(CCF),但没有静脉窦血栓形成(图1)。DSA证实了CCF,为颈内动脉海绵窦段动脉瘤破裂所致。患者接受了血管内治疗:(1)左侧颈内动脉海绵窦段分流器支架置入 (2)经静脉弹簧圈栓塞瘘口(图2)。

图1 MRA提示颈内动脉海绵窦瘘(CCF),A:左侧海绵窦不对称强化,B:左侧眼上静脉扩张,C:DSA提示CCF位于左侧颈内动脉,同时可见左侧海绵窦通过海绵间窦使右侧海绵窦早期显影。

图2 DSA显示瘘管的血管内治疗结果,A/B:治疗后即刻, C:6个月时复查证实颈动脉-海绵窦瘘栓塞完全。
该患者以复视为主要临床表现,回顾复视相关的诊疗思路。首先应分清是单眼还是双眼复视,单侧常见于眼球病变,双侧则更多见于神经、肌肉或神经-肌肉接头的病变,有些与脑干卒中相关。复视的机制可能与颅内压升高间接相关。主要包括卒中、感染、脱髓鞘、占位性病变,少见于甲状腺眼病。
双侧外展神经病变相关复视的鉴别诊断相对复杂,但如果患者是急性起病,需考虑血管相关病因,如蛛网膜下腔出血、血管畸形、脑梗死。结合患者动脉粥样硬化相关危险因素,以及CTA提示左侧椎动脉V1-V2段闭塞,首先不能除外患者病因为缺血性卒中。直到患者出现眼周红肿,才进一步提示病因可能为颈动脉海绵窦瘘,最后经DSA确诊。
CCF是一种获得性的血管畸形,异常连接形成于颈动脉和海绵窦之间。CCF可根据解剖(直接/间接)、血流动力学(高流量/低流量)、致病机制(创伤/自发)分别进行分类。直接CCF病因包括创伤、医源性颈动脉损伤(常见于经蝶垂体瘤切除术)等,颈内动脉海绵状血管瘤为少见病因。间接CCF指海绵窦与颈内动脉、颈外动脉的分支之间形成的异常连接。间接CCF机制推测为海绵窦流出道原位血栓形成,并继发动静脉瘘。常见于肌纤维营养发育不良等相关结缔组织病。该患者经DSA证实颈内动脉海绵窦瘘为此次病因。患者临床症状常表现为复视、眼球突出、球结膜水肿、眼球血管杂音、眼球疼痛等。患者临床症状常与瘘口大小及位置、血流方向、血流速度相关。海绵窦内有动眼神经、滑车神经、外展神经穿过,外展神经因其位置临近颈内动脉所以最常受累。尽管大多数CCF患者只累积单侧海绵窦和动眼神经,但因两侧海绵窦相通,压力与血流的传导可导致对侧受累。直接CCF与间接CCF的最大区别就是前者病情进展迅速,容易遗留后遗症。治疗方面首选血管内手术治疗,放疗、开颅手术、保守治疗均作为次选。如未得到及时的血管内治疗,患者病情常进展迅速,有遗留永久性失明的风险。

图3 颈动脉海绵窦瘘的Barrow分型,A:直接型,B/C/D:间接型
来源:重症卒中(编译 赵家慧)
转载已获授权,其他账号转载请联系原账号
查看更多