查看更多
密码过期或已经不安全,请修改密码
修改密码
壹生身份认证协议书
同意
拒绝
同意
拒绝
同意
不同意并跳过
肺诺卡菌病(PN)是由诺卡菌导致的严重的肺部感染性疾病,临床少见,易被误诊为肺部其他细菌、真菌、结核感染性疾病、肿瘤、血管炎等。目前尚无特异性的血清学标志物,病原学检查是金标准。早期诊断、及时治疗是该病预后的关键。
患者女,49岁,因“反复咳嗽1年余,加重1月”入院。患者于1年前开始无明显诱因出现咳嗽,干咳为主,偶有咳痰,为白色黏痰,偶有痰中带血丝,无发热,无咽干、咽痒、咽痛,无胸闷、胸痛,无反酸烧心,无腹痛腹胀、腹泻,院外曾予以对症治疗,症状稍有缓解,患者未重视,未系统诊治。
1月前患者自觉咳嗽频繁,伴有咳脓痰,痰不易咳出,低热,伴有全身乏力,无胸闷胸痛,无反酸烧心,无恶心呕吐,曾在当地医院予抗感染治疗(哌拉西林/舒巴坦),症状未见明显好转,门诊以“咳嗽待查”收入院。
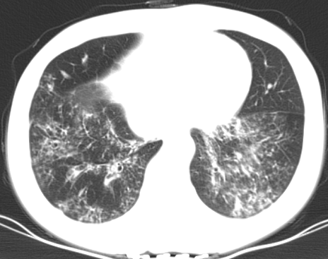
患者既往有“头孢”过敏史,余无特殊。入院后查体双下肺可闻及少量湿性啰音,余无阳性体征。胸部CT示:1.慢支,肺气肿;2.双肺感染性病变,双肺支扩;3.双侧胸膜增厚粘连。


图1 入院胸部CT
入院查肺功能提示呼气终末期流量下降,最大通气量轻度下降,支气管舒张试验阴性;C-反应蛋白13.93 mg/L(偏高);血沉43 mm/h(偏高);血常规、PCT、痰培养、痰找抗酸杆菌均未见明显异常,CP-Ab、MP-Ab均为阴性,查T-SPOT为无反应性。
予以抗感染(左氧氟沙星)、平喘、化痰等对症治疗,患者症状无明显改善。如此严重的感染症状,为什么普通痰培养是阴性,而且常规抗生素治疗无效呢?难道是少见菌感染?
征得患者同意,在局麻下行气管镜检查及治疗。
术中各支气管腔内可见中量脓性分泌物,取该分泌物行痰培养、抗酸染色,于左下叶背段行刷片细胞学,以及灌洗液TCT及MTB/RIFGeneXpert检查。
气管镜下肺刷片+灌洗液检查示:镜下见呼吸性上皮细胞、大量中性粒细胞、少许肺泡上皮细胞及吞噬细胞,部分细胞增生,未见肿瘤细胞。抗酸染色:阴性。MTB/RIFGeneXpert检查为阴性,气管镜下取痰培养提示:盖尔森基兴诺卡菌。

图2 痰培养报告
针对性应用敏感抗生素(阿米卡星+亚胺培南)静脉治疗1周后复查肺部CT示:与前片比较,1、双肺感染灶较前略显吸收好转,仍可见大部分感染灶残存;2、双肺轻度支扩,双侧胸膜局限性增厚均较前无明显变化(图3),患者症状明显好转,要求出院,给予办理。
出院后嘱患者继续口服复方磺胺3~6个月,并频繁随诊(至少1月1次),监测症状、体征的变化,以及药物不良反应,该患者依从性差,并未执行。


图3抗生素治疗1周后复查胸部CT
患者入院后多次自主咳嗽留痰,均为不合格痰标本,培养结果为口腔正常菌群。后经支气管镜留取的痰标本,我们首先进行了直接涂片革兰染色镜检(图4),镜下WBC>25,上皮细胞<10,为合格的痰标本,而且镜下可见革兰阳性杆菌,放射状分枝菌丝,形态疑似“诺卡菌”。

图4 痰直接涂片革兰染色
将痰标本接种于哥伦比亚血琼脂平板、巧克力琼脂平板,35℃、5%CO2培养24h后可见细小、白色、干燥菌落;48h可见白色干燥、粗颗粒状菌落;72h菌落逐渐增大,见“咬琼脂”现象,菌落表面有皱褶,见(图5)。

图5 培养后平板上菌落生长情况
挑取单个菌落涂片行革兰染色和改良抗酸染色,革兰染色镜下见革兰阳性杆菌,菌体为丝状,呈90°分枝角(图6),改良抗酸染色为阳性(图7)。

图6 纯培养后涂片革兰染色

图片7改良抗酸染色
经飞行时间质谱(MALDI-TOF)鉴定为少见的盖尔森基兴诺卡菌(图8)。该鉴定的得分为1.7~2.0,虽然仅为属水平可靠,但一致性很好,种水平的鉴定也有提示意义。


图8 MALDI-TOF质谱鉴定结果
根据CLSI标准,盖尔森基兴诺卡菌预期抗菌药物敏感性模式如下:对阿米卡星、头孢曲松、亚胺培南、利奈唑胺和磺胺类敏感;对阿莫西林-克拉维酸钾、环丙沙星、左氧氟沙星耐药。立即与临床医生沟通,为临床医生抗生素的使用提供有效有力的依据。
中年女性患者,因“反复咳嗽1年余,加重1月”入院,入院后查体双下肺可闻及少量湿性啰音,余无阳性体征。完善相关检查肺部CT提示感染,血象正常,CRP、ESR高,降钙素原正常,患者咳嗽咳痰症状明显,首先考虑肺部感染可能性大,由于患者既往有“头孢”过敏史,经验性给予左氧氟沙星抗感染治疗,患者症状无明显改善。
征得患者同意后,在局麻下行气管镜检查,镜下见各支气管腔内中量脓性分泌物,细胞学提示大量炎性细胞增生,未见肿瘤细胞,初步排除肺癌。
该患者T-SPOT为无反应性,痰及支气管镜下分泌物抗酸染色均为阴性,再结合MTB/RIFGeneXpert检查为阴性的结果,基本可以排除肺结核。
患者无全身多系统受累,支气管镜下见各支气管腔内中量脓性分泌物,血管炎证据不足。
几日后接到微生物室报告,气管镜取痰培养鉴定:盖尔森基兴诺卡菌。
由诺卡菌导致的严重肺部感染性疾病称为肺诺卡菌病,临床少见,易被误诊为肺部其他细菌、真菌、结核感染性疾病、肿瘤、血管炎等。
肺诺卡菌病常发生于全身或肺部局部免疫功能缺陷的宿主,临床症状主要表现为发热、咳嗽、咳痰等,影像学表现包括实变、结节、肿块及空洞等,肺部典型病理损害为坏死性脓肿,慢性感染者形成有肉芽肿。
该患者肺部CT提示患者既往有支气管扩张病史,再根据患者的临床症状、影像学改变及病原学检查结果支持肺诺卡菌病的诊断。根据该菌的药物敏感性调整用药,给予阿米卡星联合亚胺培南抗感染治疗,所使用诊断治疗方案符合热病中建议的治疗方案。治疗一周后复查CT,示双肺感染灶较前略显吸收好转,提示治疗有效。
肺诺卡菌病常发生于免疫功能缺陷的患者,但是有报道接近1/3的患者免疫功能正常但合并有肺部基础疾病。诺卡菌广泛分布在土壤、水和有机质中。由该菌感染引起的疾病非人-人传染,人吸入菌丝片段是主要传染途径,也可经破损皮肤或消化道进入人体。
病原学检查为诺卡菌病诊断的金标准。诺卡菌生长缓慢,通常需要2~7d,有时甚至需要4~6周,而痰标本又有多种快速生长的定植菌,按照痰标本的标准操作规程进行常规培养通常会漏检,造成诊断或治疗延误。
患者反复咳嗽1年多,在外院长期被当作普通细菌性肺炎、支气管扩张症、慢性阻塞性肺疾病急性加重进行治疗,未对病原学证据进行探究,一直未能明确病原菌规范化治疗。在我院经气管镜取痰培养提示盖尔森基兴诺卡菌。根据药敏结果使用阿米卡星联合亚胺培南抗感染治疗,患者临床症状逐渐好转。肺诺卡菌病的治疗周期较长,需要患者遵医嘱规律性服药,否则会出现肺外播散,影响预后。
本文首发于检验医学 作者湖北医药学院附属襄阳市第一人民医院吴姿蓉 史莉 潘大鹏 陈俊文
查看更多