查看更多
密码过期或已经不安全,请修改密码
修改密码
壹生身份认证协议书
同意
拒绝
同意
拒绝
同意
不同意并跳过
一波三折的病例
首先为大家介绍2例极具戏剧性的病例。
病例1
男性患者,52岁,体检发现右肺结节一个月(图1),要求进一步检查来院就诊。

图1
令人欣喜的是经过三维重建,发现右肺结节是叶间胸膜肥厚(图2)。

图2
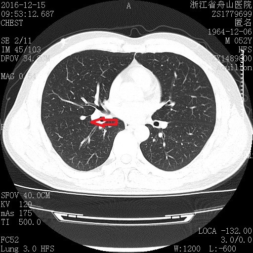
然而,患者还没来的及高兴,医生又在他的左上肺发现可疑结节,而且常规扫描很难定性(图3)。

图3
随后,经过薄层CT靶重建(图4)和三维重建(图5),发现左上肺结节周边有磨玻璃成分,结节形态不规则,表面凹凸不平,影像诊断早期浸润性腺癌,最后得到病理证实。

图4

图5
病例2
男性,59岁,体检发现右肺下叶可疑结节3年,似有逐渐增大(图6)。患者因这枚结节多次到国内不同三甲医院会诊,是炎症?还是肿瘤?各会诊专家意见不统一,患者随访时间长达3年。

图6
我们考虑到病灶位置特殊,给予患者俯卧位扫描(图7),让病灶更好的显示出来。

图7
在个性化扫描下取得优质容积数据,用薄层靶重建(图8)显示出病灶更多的细节,从图中可见,该结节存在分叶、毛刺、血管集束征、胸膜凹陷征等恶性结节常见征象。

图8
随后,用冠状位和矢状位显示病灶形态,用容积再现(VR)显示病灶表面情况(图9-12)。最后诊断:浸润性腺癌。

图9

图10
图11

图12
以上两位患者都通过肺结节精准CT检查技术而实现了肺癌的早期发现。读者可能看的眼花缭乱,什么是肺结节精准CT检查技术呢?本期,我们请浙江舟山医院肺癌中心的曹捍波教授为我们一一讲解。
在门诊上,经常有患者查体发现了肺部结节前来就诊。这时,医生常会让患者再作一个CT检查。患者不明白了,“我刚刚做了CT检查,为什么还要建议我再做CT检查?”
是医生滥开检查吗?当然不是!
这是因为日常工作中,我们发现的肺结节往往都是体检和低剂量CT筛查发现的。这类检查从正常人群的健康出发,采用低剂量和迭代技术,使X射线辐射剂量降低到原剂量的5-7倍,重点在于发现病灶。而对于肺结节,特别是比较小的肺结节,医生为了显示更多的病灶细节,需要患者做肺结节精准CT检查,以更有效判断病灶的性质。什么是肺结节精准CT检查技术?肺结节精准CT检查技术包括:肺结节个性化CT扫描、高分辨率薄层CT靶扫描或者靶重建、肺结节CT血管三维重建和肺结节多维诊断。本期,我们请浙江舟山医院肺癌中心的曹捍波教授为我们一一讲解。
个性化扫描技术
首先,我们先来介绍肺结节个性化扫描技术,由于每一枚肺结节的影像表现都是不一样的,一名优秀的影像科医生会根据结节的位置、形态和患者各方面的因素,选择合适的扫描方法,从而使肺结节更清晰的显示,为下一步精准诊断提供优质原始数据。

图13
图13采用的是常规仰卧位扫描,也是我们日常工作中的常规检查方法,肺结节显示比较模糊。

图14
图14采用俯卧位、深吸气后扫描,肺结节显示清晰。改变体位扫描,使病灶和病灶周围的肺组织都显示清晰,更有利于影像诊断。

图15
图15患者屏气不好,导致横膈显示模糊,横膈旁可疑结节。

图16
我们结合患者特点,进行呼吸训练,改变扫描方向,使扫描的第一时间能扫到病灶(图16)。结果发现横膈旁真有一枚结节,三维重建后考虑浸润性腺癌,后来得到手术证实:浸润性粘液腺癌。
薄层高分辨率靶扫描或靶重建
所谓薄层CT,一般指2毫米以下的扫描,根据结节的不同,医师会选择0.5到2毫米的扫描,结合高分辨率算法,显示病灶细节。就好像我们切西瓜,一个西瓜切一刀或者两刀,我们发现不了有多少个西瓜籽,如果切很多刀,那就一目了然了。
我们日常碰到的肺结节往往都是2厘米以下的,常规的5到7毫米扫描,可能也就一到两层。而用薄层扫描,则能显示结节的全貌。相应的,扫描次数越多,辐射越大,因此为了减少患者的辐射量,我们采用了靶扫描——即“瞄准”结节灶进行扫描,或者用靶重建,更加有效地减少患者辐射量。

图17

图18
比如上图这个肺结节,常规扫描只有3层(图17),薄层扫描可以显示10层(图18),更方便看见结节的全貌。最后影像诊断:微浸润腺癌。
肺结节血管三维重建与多维诊断
肺结节血管三维重建是根据肺结节的情况,进行多角度、多方法的显示,可大大增加肺结节诊断的信息量。

图19
例如图19这样的实性结节,常规扫描良恶性结节都可以这样表现,单从CT检查来看,无法提供更多信息。

图20
采用CT曲面重建后(图20),显示局部支气管中断,诊断肺鳞癌就非常有把握。

图21
血管树重建和模拟结节定位(图21),清晰显示病灶位置和血管的关系。

图22
胸膜表面重建(图22),显示病灶和胸膜的关系,可进一步评估结节性质和肿瘤对胸膜是否侵犯。

图23
气管树重建(图23),明确肿块和气管的关系.

图24
仿真支气管镜(图24),直观显示病灶和气管关系。
三维重建的方法还有很多,放射科医生会根据肺结节的具体情况,选择合适的方法来进行操作。总之,肺结节血管三维重建可全面、立体显示病灶,以及病灶和周围肺组织的关系,为早期肺癌和癌前病变的检出、定性提供丰富的信息。
肺结节在临床上越来越多的被发现,作为医生,我们的任务不仅仅是发现,而是要做出精准诊断!肺癌早诊早治是治愈肺癌、延长生存的关键。研究显示,对于原位肺腺癌(AIS)、微小浸润性肺腺癌(MIA),术后五年生存期接近100%;而晚期肺癌五年生存率不足20%。因此,早发现一例早期肺癌,就是挽留一条生命,拯救一个家庭,造福整个社会!
作者 | 曹捍波(浙江舟山医院)
编辑 | 郝冉(中国医学论坛报)

查看更多