查看更多
密码过期或已经不安全,请修改密码
修改密码
壹生身份认证协议书
同意
拒绝
同意
拒绝
同意
不同意并跳过
“三十年烟龄+十余年老慢支”,年逾七旬的老人同时遭遇“胃癌+肾癌”,生命“进度条”发出警告!上海交通大学医学院附属仁济医院胃肠外科及泌尿科专家团队联合手术,达芬奇手术机器人助力,单次手术成功挑战双重癌症,老伯重获新生。
在仁济医院胃肠外科主任医师张子臻出诊的日子,72岁的陈老伯面带焦虑地踏入诊室。张子臻仔细问诊后得知,陈老伯在一次定期体检中发现胃窦体交界处有一处周围隆起、中央凹陷性的病灶,活检病理提示倾向认为是低分化腺癌。
陈老伯和他的家属都迫切希望进行根治性手术治疗。然而陈老伯有长达三十余年的吸烟史及十余年的老慢支病史,很担忧手术是否可以安全进行。
张子臻细心解答,耐心解释手术治疗的可行性和风险,并尽快为陈老伯安排了病房,同时完善全身检查。
然而,在入院检查中,意外发现陈老伯的右肾中部有个1 cm结节,增强CT高度怀疑肾癌,这让医生们和陈老伯家属都感到意外和担忧。

(增强CT影像)
双重癌症,同时打击,怎么办才好?仁济专家团队重新研讨治疗方案,以期达到最佳的治疗效果。
充分评估陈老伯情况后,胃肠外科张子臻团队与泌尿科翟炜团队、麻醉科俞卫锋团队共同制定了全面的治疗方案,决定为陈老伯进行达芬奇机器人手术,在同一次手术中同时完成胃癌及肾肿瘤根治切除。
据仁济胃肠外科主任医师曹晖教授介绍,单次手术“搞定”双癌的治疗方案目的在于最大程度地减少陈老伯的手术创伤和恢复期,为陈老伯提供更加全面和个性化的医疗护理。
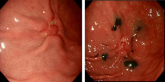
为了更精准地切除胃部病灶,胃肠外科顾佳毅医生为患者进行了胃镜下病灶纳米碳定位术。据透露,这一技术利用了黑色的纳米碳粒子对病灶进行高度定位,使医生能够在术中直观的观察并切除病变组织。这项技术不仅可以保留更多健康组织,减少手术创伤,还可以提高手术的精准度和安全性。

左图胃镜(定位前)、右图胃镜(定位后)
手术中,张子臻、翟炜、俞卫锋团队以及外科手术室护士长黄一乐团队紧密合作,充分发挥各自专业优势。经过完备的术前准备和各专科团队的通力配合,为陈老伯顺利完成了达芬奇胃癌根治术联合达芬奇肾肿瘤切除术。术后,陈老伯平安返病房,得到了精心的护理和康复指导。
经过术后7天的观察和治疗,陈老伯的身体状况稳定,腹部和腰部切口小、恢复快,已顺利出院。如今,陈先生精神矍铄,已经可以正常进行日常生活。

(患者术后切口)
值得一提的是,手术中,“达芬奇”机器人大显身手。胃肠外科张子臻团队与泌尿科翟炜团队充分利用达芬奇机器人可以在腹腔360度空间内灵活摆动、穿行的特点,针对胃部早期癌症以及位于后腹膜的肾脏肿瘤的完整切除。
达芬奇手术通过高清晰度立体视觉系统和手术臂的灵活度,使医生能够在手术中获得更加清晰、精细的视野,从而进行更为精准的操作。曹晖表示,机器人手术在手术过程中可以实现更小的切口和更精细的操作,从而减少了患者的手术创伤和疼痛,缩短了恢复期,提高了手术的安全性和舒适度。此外,机器人手术还能够减少术中出血量,降低了手术并发症的风险。
据透露,胃肠道肿瘤的多学科合作诊疗、微创治疗和保功能手术一直是仁济胃肠的专业特色。今后,仁济医院胃肠外科将继续利用达芬奇机器人开展高难度的微创外科手术,以提升胃肠道肿瘤以及多学科合作的诊疗水平,造福更多患者。
通讯员:上海交通大学医学院附属仁济医院 黄晨 白龙
查看更多