查看更多
密码过期或已经不安全,请修改密码
修改密码
壹生身份认证协议书
同意
拒绝
同意
拒绝
同意
不同意并跳过
患儿,男,11岁,主因“间断发热20余天”入院,病程中偶有咳嗽,发病前曾有鸽子接触史。查体未见明显异常。查血常规提示WBC 13.45×10^9/L,CRP 124.2 mg/L,ESR 80 mm/h;肺部CT提示两肺胸膜下多发小结节影,腹部超声提示脾内多发低回声灶,腹部CT提示后纵隔、腹膜后及腹腔多发肿大淋巴结,部分融合成团;脑脊液及头颅MRI未见异常,血隐球菌抗原(+)1:640,血真菌培养阴性。诊断全身播散性隐球菌病(肺、脾、淋巴结),予两性霉素B联合氟胞嘧啶抗真菌治疗,患儿体温正常,复查血炎症指标下降。
肺隐球菌病(pulmonary cryptococosis, PC)是指主要经呼吸道吸入环境中的新生隐球菌或格特隐球菌而引起的一种急性、亚急性或慢性肺部真菌病。该病在免疫缺陷患者更常见,尤其是HIV感染患者。但是近几年发现我国有一半以上的PC患者是免疫功能正常的个体。
隐球菌中主要致病菌是新生隐球菌和格特隐球菌,新生隐球菌分格鲁比变种、新生变种及混合变种,血清型分别为A型、D型及AD型,基因型为VNI-IV,感染新生隐球菌患者90%血清型为A型,其中94%~98%基因型为VNI。格特隐球菌的血清型主要为B型和C型,基因型为VGI-IV,我国感染的格特隐球菌主要为VGI型菌株。土壤是隐球菌寄居的重要场所,鸽子是隐球菌的天然宿主,在传播中扮演重要角色,家庭宠物(如猫、狗)也可携带隐球菌,通过直接接触传播。国外的研究中,肺隐球菌病患者中无免疫抑制人群比例较少(17%~35%),国内的肺隐球菌病更常见于无免疫抑制患者(54%~70%)。
肺隐球菌病的感染途径包括以下几种方式:吸入空气中的孢子(主要途径),创伤性皮肤接种,摄入带菌的食物,经肠道播散至全身。隐球菌荚膜是重要的致病毒力因子,可干扰宿主保护性免疫反应。隐球菌胞壁结构对宿主特异性信号传导起主动调节作用,这种重塑结构通过屏蔽更多免疫原性表面特征导致免疫逃避。
隐球菌进入机体后被抗原提呈细胞(树突状细胞和巨噬细胞)识别吞噬,树突状细胞通过内体/溶酶体途径初步处理隐球菌抗原,MHC-Ⅱ类分子将其递呈,并通过氧依赖性和非氧依赖性机制杀灭隐球菌;成熟的树突状细胞能有效启动T淋巴细胞并介导Th1和Th17免疫应答。巨噬细胞分化为M1型(经典激活的)巨噬细胞介导Th1应答(主要是IFN-γ介导),导致反应性氧中介物、氮物质、蛋白酶、脂质介质上调,使巨噬细胞有效的杀伤病原菌,同时增加MHC-Ⅰ或MHC-Ⅱ的递呈和介导适应性免疫;M2型(可选择活化)巨噬细胞介导Th2应答,有助于抑制和调节炎症反应,并在愈合中发挥作用。
病变早期黏液样变,似黏液瘤,黏液由荚膜产生;病变晚期为慢性炎症纤维化背景中肉芽肿形成,坏死不常见;肉芽肿由上皮样组织细胞、泡沫样组织细胞和多核巨细胞组成,多核巨细胞胞浆中更容易发现隐球菌菌体。

图1 肺隐球菌病的病理改变:菌体为薄壁、圆形、空泡状,周围可见透明空晕

图2 肺隐球菌病的病理改变:A,GMS染色菌体壁呈黑色;B,PAS染色菌体壁呈紫红色
肺隐球菌病的临床表现缺乏特异性,从无症状到严重的急性呼吸窘迫综合征均有发现,其严重程度通常取决于机体的免疫状态,无免疫抑制的患者常无临床症状或症状较轻。

图3 肺隐球菌病各个分型的临床表现
肺隐球菌病部分患者的感染会播散到中枢神经系统,导致隐球菌性脑膜炎,通常表现为亚急性或慢性头痛,伴或不伴颅高压症状(恶心、呕吐、畏光和/或视力模糊),也可能出现颈强直、意识改变。其他部位如皮肤、骨骼和关节、前列腺、眼睛等也可受累,从而出现相应临床表现。
隐球菌荚膜多糖抗原检测(血清、脑脊液)具有较高的敏感性和极高的特异性;肺隐球菌病的病原学培养、鉴定及体外药敏试验可使用支气管肺泡灌洗液、肺活检组织;组织病理学检查是确诊肺隐球菌病的金标准;腰穿及头颅影像学检查可用于评估中枢神经系统受累情况。
肺隐球菌病影像学表现多种多样,主要取决于宿主的免疫状态。
免疫功能正常患者肺部病灶大多数较局限,以单发/多发的周围型结节团块及局限的肺炎样病灶最为多见,结节团块型边缘可有毛刺和分叶改变,病灶大多分布于下肺外周呈宽基底状,紧贴胸膜,以右下肺较常见。
免疫抑制患者常见表现包括胸膜下区为著的单发或多发结节、局灶性实变区,边缘不清的斑片状实变或伴有空气支气管征的边缘清楚的实变,形成空洞和晕征;少见表现有肺门和纵隔淋巴结肿大,弥漫性粟粒状影,急性间质性肺炎,胸腔积液,网格状浸润,磨玻璃样渗出影。

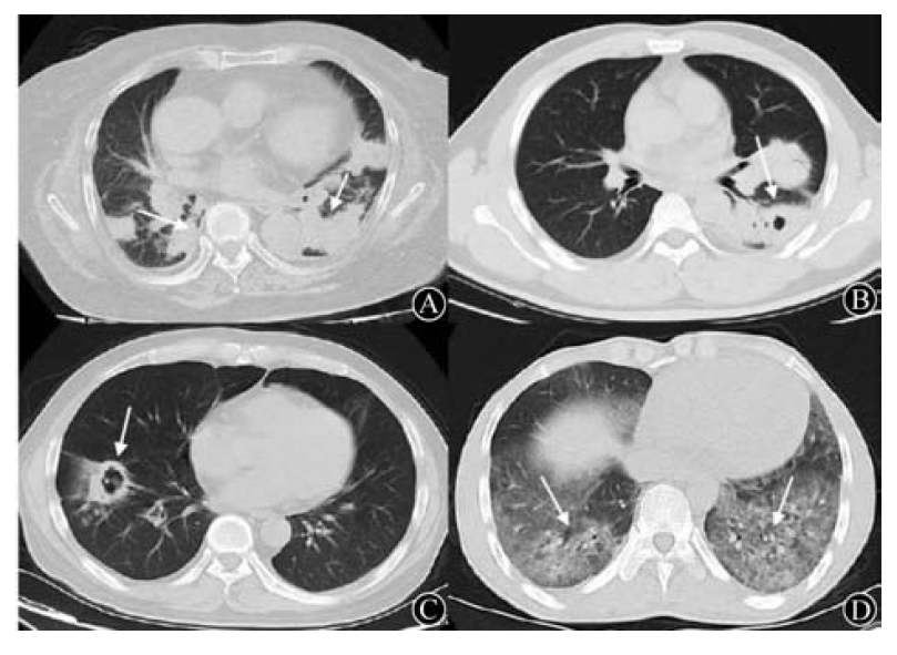
图4 肺隐球菌病的影像学表现:A,单发的周围型的结节团块;B,多发的周围型结节团块;C,局限的肺炎样病灶;D,多发团块

图5 肺隐球菌病的影像学表现:A,右肺下叶多个结节,有融合倾向;B,右肺下叶大片实变伴支气管扩张

图6 肺隐球菌病的影像学表现:A,多发的肺炎样病灶;B,实变伴空洞;C,空洞;D 间质性病变
依据2017年肺隐球菌病诊治浙江省专家共识,肺隐球菌病诊断依靠组织病理学检查,无菌部位标本(如肺穿刺标本)培养也有确诊意义,痰和BALF涂片培养阳性对诊断具有一定价值;如果患者具有典型的临床特征和影像学表现,同时血清隐球菌抗原检测阳性,临床可考虑肺隐球菌病。疑似肺隐球菌病患者诊疗流程见图7。

图7 疑似肺隐球菌病患者诊疗流程
肺隐球菌病的治疗目的为控制感染,防止隐球菌播散性疾病的发生,具体见图8。无论是免疫功能抑制或正常患者,伊曲康唑、伏立康唑和泊沙康唑均可作为不耐受氟康唑或更多常规治疗无效的补救治疗。对于复发的肺隐球菌病患者,诱导治疗的疗程需要更长(4~10周);氟康唑的敏感性可能会下降,可考虑改用伊曲康唑或伏立康唑治疗。对于常规药物治疗症状或体征持续无缓解,影像提示肺部病灶持续存在的患者,可考虑外科手术切除治疗。

图8 肺隐球菌病的抗真菌治疗方案
作者:李丽 肖海鹃
本文转发自BCH儿童感染

查看更多