查看更多
密码过期或已经不安全,请修改密码
修改密码
壹生身份认证协议书
同意
拒绝
同意
拒绝
同意
不同意并跳过
基本资料
性别:女
年龄:49岁
身高:162cm
体重:64kg
主诉:诊断“横结肠肝转移3月余”,于2018-02-01首次就诊我科
现病史:于2017-10体检发现“肝多发占位”就诊外院,行肠镜病理:(距肛缘60cm)横结肠腺癌,IHC:MSH2(+),MSH6(+),PMS2(+),MLH1(+)。于2017-11至2018-01行“FOLFOX”化疗5周期,疗效评价PR(具体不详)。本拟该院行“剖腹探查备右半肝切除术+横结肠癌癌根治术”,因考虑手术风险,拒绝手术,而后转诊我院。
既往史/家族史:无特殊
辅助检查
体格检查:
生命征平稳,营养中等,慢性病面容。浅表淋巴结未及肿大,心肺查体阴性。腹平坦,无腹壁静脉曲张,腹部柔软,无压痛、反跳痛,腹部无包块、肝脾肋下未及,移动性浊音(—),肠鸣音3-5次/分。
实验室检查:
肿瘤标记物(2018-02-02):CEA 91.89ng/ml,CA19-9 38.88U/ml ;血常规、生化、尿常规、粪便常规未见明显异常 。
影像学检查:
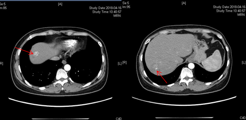
CT(2018-04-16):右肺中叶胸膜小结节;肝内多发混杂密度影,考虑为转移瘤;横结肠肝曲管壁局限性增厚 。



MR(2018-04-17):肝内多发肿块,考虑转移瘤



入院诊断:
1、横结肠腺癌并多发肝转移(IV期)化疗后 pMMR
2、肺结节(性质待定)
治疗方案:
一线治疗:
2017-11至2018-01行“FOLFOX q2w”化疗5周期
外院评价PR,建议外科手术,因考虑手术风险,患者拒绝外科治疗
为进一步缩瘤,于2018-02至2018-05行“Avastin+FOLFOX q2w”治疗5周期
维持治疗:2018-05至2018-09行“Avastin+XELODA q3w”维持治疗6周期
病理检查结果:肠镜病理:(距肛缘60cm)横结肠腺癌,IHC:MSH2(+),MSH6(+),PMS2(+),MLH1(+)。
一线治疗后随访评估:
实验室检查:
肿瘤标记物(2018-10-12):CEA 63.66ng/ml,CA19-9 46.45U/ml
影像学检查:
CT(2018-10-13):右肺中叶胸膜下及右侧水平裂小结节,同前;肝内多发转移瘤,范围部分较前增大;横结肠偏右局部壁略增厚,同前相仿 ;
MR(2018-10-14):肝内多发转移瘤,部分较前略增大 ;
总体评价SD,肿瘤略增大 .

二线治疗:(因奥沙利铂所致神经毒性,进入CPT-11二线治疗)
2018-10至2019-07行“Avastin+FOLFIRI q2w”治疗9周期(患者自行调整到院时间)
分别于第2、5、7、9周期治疗后评价,疗效SD
而后自行暂停治疗3个月
病理检查结果:完善相关分子检测:HER2(-),PD-L1<SP142>(-),
KRAS、NRAS、BRAF野生型,MSS 。
二线治疗后随访评估:
实验室检查:
肿瘤标记物(2019-10-09): CEA 635.20ng/ml,CA19-9 538U/ml 。
影像学检查:
CT(2019-10-19):肝内多发转移瘤较前明显增大(最大者约6.0*5.1cm)。




三线治疗:
2019-10-12至2020-01:瑞戈非尼(瑞戈非尼80mg qd d1-7、120mg qd d8-14、160mg qd d15-21,q4w)靶向治疗3周期 轻度手足反应。
疾病进展检查结果:
影像学检查:
CT(2020-01-03):与2019-10-09CT对比,右肺中叶胸膜下、右侧水平裂小结节,同前;肝内多发转移瘤,范围较前增大;横结肠肝曲局部增厚伴强化,较前明显。





肝转移瘤对比:


后线治疗:
2020-01-03复查CT提示疾病进展
分别于2020-01-06、2020-02-15行“西妥昔单抗+雷替曲塞”治疗
2级痤疮样皮疹,1级药物性肝功能损害
监测肿瘤标记物,CEA、CA19-9呈持续性下降

病例小结:

病例总结:
1.本病例为一例右半结肠癌合并肝脏多发转移,至今生存时间已有28个月,主要得益于持续抗血管生成药物的合理应用;目前处于后线治疗,生存将继续延长,总之,药尽其用,用尽全药,患者生存终能获益;
2.贝伐珠单抗用于一线、维持及跨线,三线使用多靶点TKI瑞戈非尼,遵循持续抗血管原则,患者生存获益明显;瑞戈非尼剂量优化,不良反应可控,可能为本病例中PFS3达到近3个月之久的重要原因之一,明显优于CORRECT中瑞戈非尼组的中位PFS 1.9个月;受启发于REVERCE研究,后线使用C225+雷替曲塞进行抗肿瘤治疗,目前监测肿瘤标记物呈持续性下降;
3.ESMO指南指出,不同于一、二线所强调的转化,三线的整体目标为生存获益,也正如Grothey教授指出的“Chemo-break”,选择多靶点TKI用于三线治疗,比如瑞戈非尼,可起到承前启后作用。延续前线治疗的生存期获益,并让机体恢复治疗敏感性,给后线治疗带来更多的可能性
查看更多